Fachportal
Neue interessante Fälle
Fragen und Antworten zum Konzept
Schmerzen Antibiotika Frequenz WSR und Extraktion Wie lange Erfahrung Nebenwirkungen Zahlreiche Med's und Wirtschaftlichkeitsprüfung Wirtschaftlichkeit Wie wichtig ist die strikte Einhaltung des Protokolls? Warum lassen Sie so häufig Zähne offen? Anwendung von CHKM...
Progener Zwangsbiss
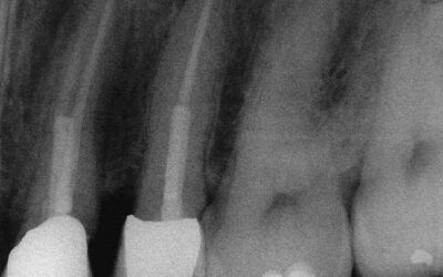
An diesem Fall eines 65jährigen männlichen Patienten mit Tinnitus, der sich mit Schmerzen im Bereich des 3. Quadranten zur Erstuntersuchung vorstellte, zeigt sich, wie unverzichtbar das fachgebietsübergreifende Wissen des Allgemeinzahnarztes ist. Gleichzeitig wird...
Das würden wie heute anders machen!
Am besten lernt man aus eigenen Fehlern und dadurch, dass man die Gründe des Scheiterns analysiert. Schlecht ist es, wenn man jeden Fehler erst selbst machen muss um zu lernen. Viel geschickter ist es, aus den Fehlern anderer zu lernen. OPG aus 1989 zur Kontrolle der...
Follow up
Durch Fistelung komplizierter, kombiniert endodontisch-parodontologischen Fall, wie er täglich vorkommt und genau so regelmäßig zur Extraktion gelangt. Dabei ist ein solcher Befund mit Geduld sehr einfach und routinemäßig auszuheilen.Deutlich sieht man die abgefüllte...
CMD
Unter dem Begriff CMD wird eine Vielzahl von Beschwerdebildern zusammengefasst. Das Problem ist, dass ihnen sowohl zahnärztlich als auch nicht zahnärztlich zu behandelnde Ursachen zu Grunde liegen können. Vom Zahnarzt wird weder erwartet noch verlangt, diejenigen...
Kleiner Einblick in unsere laufenden Zahnerhaltungsbemühungen
Für solche Standardfälle geben wir inzwischen vor der Behandlung eine Erfolgsprognose für die konservierende Ausheilung des apikalen Granuloms von praktisch 100 % ab. Am folgenden Fall sieht man sehr deutlich, dass die Vorstellung, bei apikalen Aufhellungen handele es...
Auch das ist erfolgreiche Endodontie!
Dr. Florian Grummt, Oralchirurg, Hornschuchpromenade 25, 90762 Fürth, www.dr-grummt.de, schreibt in Reaktion auf den von uns veröffentlichten, genau gleich verlaufenden CMD-Fall zu seinem Fall im Januar 2006: Die Patientin kam vor ca. 1 Jahr mit persistierenden...
Erfolgreicher Protokollwechsel
Ein Fall des Kollegen Johann Zenger, Pfarrkirchener Strasse 12, 84307 Eggenfelden, www.zahnarztpraxis-zenger.de Kollege Zenger schreibt zu seinem Fall: Nachdem ich vor ca. 10 Jahren - nach meinem heutigen Kenntnisstand leider - aufgrund "wissenschaftlicher...
Interessanter Therapieansatz
Vorausschicken muss man in diesem Fall unbedingt, dass es sich bei der ca. 40jährigen Patientin um eine promovierte Akademikerin handelt, die in der Anamnese sehr klar strukturierte, logisch nachvollziehbare Angaben macht. Nach Abschluss ihrer kieferorthopädischer...
Das musste ja schief gehen!
Radix-Anker haben einen nicht allzu guten Ruf. Nach Ansicht ihrer Kritiker lockern sie sich zu häufig. Wir denken, dass es sich dabei in vielen Fällen um einfache Anwendungsfehler handelt. Der Patient stellte sich im März 2006 knapp 2 Jahre nach Eingliederung der...
Gut, wenn man sich auf seine Endodontie verlassen kann
Solche umfassenden Rehabilitationen kann man, wenn man ruhig schlafen will, nur eingliedern, wenn man sich praktisch 100%ig auf seine Endodontie verlassen kann (Timbuktu-Methode)
Zum Glück haben wir uns schon vor 18 Jahren…..
....nicht an die noch heute geltende Lehrmeinung gehalten, man dürfe Zähne nicht verblocken. Zwischenzeitliche zahnärztliche Interventionen regelmäßige Zahnreinigungen mehrere adjustierte Aufbisschienen eine Wurzelbehandlung an 46 ca.10 Jahre nach Überkronung Die...
Wissenschaftliche Standortbestimmung in der Endodontie
In Kenntnis der neueren Literatur kann als wissenschaftlich erwiesen angesehen werden, dass die bisherige Lehrmeinung, dass das Granulom eine "bakterienfreie Zone" darstellt, falsch ist, sondern dass Granulome häufig oder in der Regel vielmehr mit denselben Keimen...
Typische Fehldiagnose
Dieser 29jährige Patient suchte uns zum Ziehen eines Fadens bei Zustand nach chirurgischer Entfernung seines Lippenbändchens auf. Die Indikation zu diesem Eingriff war gestellt worden, nachdem das Zahnfleisch sich von den relativ neuen Kronen relativ schnell...
Manchmal ist es echt zum Verzweifeln…..
Die Spezialisten machen manche Patienten völlig verrückt! Da kam neulich diese mittelalterliche, gesetzlich versicherte Patientin, die eifrig unsere Homepage studiert hatte, um nun endlich auch meine Meinung zu ihrem Problem zu erfahren. Sie machte zunächst einen...
Doublette
Wir mögen Doubletten, weil sie besonders deutlich zeigen, dass diejenigen, die das Timbuktu-Protokoll anwenden, keine Sonntagsfälle präsentieren. Hier eine vom Kollegen Johann Zenger, Pfarrkirchener Strasse 12, 84307 Eggenfelden, www.zahnarztpraxis-zenger.de Kollege...
Handauflegen statt Einschleifen oder Revision
Die Spezialisten bringen manche Patienten wirklich völlig durcheinander. Da kam neulich diese Kassenpatientin in der Blüte ihrer Jahre mit rezidivierend aufflackernden Zahnschmerzen im linken oberen Quadranten mit verwaschener Aussprache. Typischer Befund bei Zustand...
Diastema
Dem ca. 50jährigen männlichen Patienten war im Verlauf seines Lebens mehrfach vorgeschlagen worden, seine Frontzahnästhetik mit Kronen oder Veneers zu verbessern. Obwohl ihn seine lückig stehenden Frontzähne schon seit seiner Jugendzeit störten, hatte er sich diesem...
Das würden wir heute anders machen!
Mit diesem desolaten Restzahnbestand stellte sich die Patientin Im Frühjahr 1992 mit dem Wunsch nach prothetischer Versorgung bei uns vor. Die erforderlichen finanziellen Ressourcen vorausgesetzt würden wir sie heute natürlich mit 2 oder maximal 3 Implantaten...
Auch nach 15 Jahren….
....kann es noch zur Exazerbation eines endodontischen Infektes kommen, der initial nicht sorgfältig genug desinfiziert und in der Folge nicht vollständig ausgeheilt wurde. Dies insbesondere natürlich dann, wenn die Wurzelfüllung zumindest in einem Kanal nicht gerade...
Überzeugungsarbeit
"Damit wir uns nicht mehr im Kreise drehen und immer wieder das Gleiche schreiben müssen, warten wir doch ab, bis Sie Ihre These mit einer harten klinischen Doppel-Blind-Studie belegen können. Wenn diese vorliegt, kann man sicher weiter diskutieren." Einmal davon...
Kollegialer Dialog
Anlässlich einer meiner zahllosen Internet-Diskussionen ergab sich der folgende freundschaftliche Dialog: Ich: "Ansonsten habe ich doch alles dazu gesagt. Was genau möchtest Du denn gerne von mir hören?" Der zertifizierte Kollege: "Dass Du irgendwann einmal sagst:...
Wundermittel?
Nicht selten sehen wir uns mit der Behauptung konfrontiert, wir würden die Original-ChKM-Lösung nach Prof. Walkhoff als Wundermittel empfehlen, das man nur in einen infizierten Wurzelkanal einbringen müsse, und schon sei alles in Ordnung. Das ist völlig falsch und...
Eigentlich schade….
..., dass dieser prinzipiell ordentlich arbeitende und sich der Zahnerhaltung verpflichtet fühlende Kollege seine Patienten verliert, nur weil er vor dem definitiven Abfüllen nicht sorgfältig genug desinfiziert. Der 15 wurde anschließend extrahiert und eine Brücke von...
Berührungsängste
Insbesondere zertifizierte Endodontologen haben aus nachvollziehbaren Gründen besonders ausgeprägte Schwierigkeiten, sich mit der indikationsgerechten Behandlung der Endodontitis nach der "Timkuktu-Methode" anzufreunden. Es gibt aber auch durchaus Kollegen, die auch...
Wenig Neues bei Kunststofffüllungen
Die Bilder zeigen die Verlaufskontrolle einer Quadrantensanierung mit Kunststofffüllungen aus dem Jahre 1992. Bei großen oder tiefen Füllungen haben wir damals wie heute Unterfüllungen mit Ketac-Bond gelegt. Damals nur Ätzen, Heliobond und Heliomolar in...
Keine Ahnung….
...warum die Endodontisten immer jammern, ihre Statistik werde durch die vielen undankbaren Revisionen belastet, die ihnen von den Allgemeinzahnärzten überwiesen werden. Möglicherweise liegt es wohl doch an E. faecalis, der molekularbiologisch in gangränösen Zähnen...
Bei größeren, unter ständiger Belastung stehenden Aufhellungen…
.... kann es auch schon mal etwas länger dauern, da man seins solche Brücke naturgemäß nicht außer Kontakt schleifen kann ..... ....heilt jedoch nichtsdestotrotz voraussagbar und zuverlässig vollständig röntgenologisch knochendicht aus.
Zirkon, oder wie man einen Privatpatienten verliert.
Das Thema des letzten Kongresses der Deutschen Gesellschaft für Prothetik, der in 2005 zusammen mit den Schweizer Kollegen in Basel abgehalten wurde, kann man ohne große Übertreibung mit "Hurrah! Zähne raus, Implantate rein, Zirkon drauf" charakterisieren." In den...
Timbuktu extrem
Wenn man über ein voraussagbar erfolgreiches Endodontieprotokoll verfügt, ist man natürlich ständig bemüht, seine Grenzen auszuloten. In diesem Fall war es besonders spannend, weil es sich um einen durch ein Freiendglied funktionell besonders stark belasteten...
Kleine Serie von heute
Röntgenologische Verlaufskontrollen sind in der Endodontie besonders wichtig. Allein an der klinische Symptomatik kann man nicht überprüfen, ob man eine durch eine apikale Ostitis komplizierte Endodontitis durch die angewandte Therapie wirklich ausgeheilt hat, oder...
Follow up
Leicht vorstellbar, was passiert wäre, wenn dieser Fall, wie das allgemein üblich ist, chirurgisch behandelt worden wäre: Zystektomie mit Devitalisierung und einsitziger Resektion von mindestens 3 Zähnen, Auffüllen mitBeckenkammtransplantat, anderswo gewonnenem...
Unter die Räuber gefallen
Diesen griechischen Bruxer, gestandenes Mannsbild, großer Schädel, der immer mal wieder über uncharakteristische, spannungsbedingte Beschwerden klagte, hatten wir über viele Jahre zahnerhaltend und im Seitenzahnbereich auch prothetisch versorgt. Nachdem die...
Von wem stammt dieses Zitat?
"Diese Erreger sind in ihrem Verhalten, ihrer Widerstandsfähigkeit und ihrer Lage in bisher viel zu wenig gewürdigten Schlupfwinkeln schon bei der Behandlung einer einfachen gangränösen Pulpa viel zu sehr unterschätzt. Nicht einige Einlagen für einige Tage vermögen...
Ein Unglück kommt selten allein
Den leicht beherdeten 35 hatten wir im Dezember 2005 abgefüllt. Anfang 2004 erlitt der vor längerer Zeit mit einer Kunststofffüllung versorgte 36 eine Kronenfraktur und wurde mit einer Einzelkrone versorgt. Nicht einmal ein Jahr später stellte sich die Patientin mit...
Vertrauen
Wie solide unser Vertrauen in unser Desinfektionsprotokoll ist, mag man daran erkennen, dass wir diesen Zahn trotz des abgebrochenen Instrumentes unmittelbar nach WF überkront haben. Die Revision der mesialen Kanäle war ausgesprochen mühsam. Beim Versuch, Zugang zur...
Lehrreich
Festsitzende prothetische Versorgung im zahnerhaltenden Grenzbereich , Quintessenz 2007
So geht es auch
Bei dieser Patientin war die Indikation zum externen Sinuslift mit Beckenknochen-Transplantat und anschließender Insertion zweier Implantate in regio 16 und 17 bereits gestellt, als sie sich um eine Zweitmeinung bemühte, weil sie sich die vorgeschlagene Versorgung...
Das Granulom ist bakteriell besiedelt
Wie konnte man auch je etwas anderes glauben? Schließlich befindet sich zwischen Wurzelspitze und Knochen keine anatomische Struktur, wie sie etwa ein Lymphknoten darstellt, die die Penetration des Knochens von Keimen aus dem infizierten Wurzelkanalsystem heraus...
Hurrah-Implantologie
Die Implantologen haben es in enger Verbindung mit der Implantatindustrie, die für ihre Marketing-Maßnahmen aus unendlichen Ressourcen schöpfen kann (nach Angaben großer Hersteller 16-20 % Gestehungskosten, 3,5-5% Kosten für Forschung bei Marketingkosten von über 40%)...
Routine
Wir denken nicht, dass wir übertreiben, wenn wir die konservierende Ausheilung solch schwerer Fälle - Revision bei apikaler Beherdung und Fistel- inzwischen als Routinetherapie bezeichnen, wenn es gelingt, die Fistel über den Wurzelkanal zu spülen, also H2O2 aus dem...
Unser Ausbildungsassistent kann es auch schon ganz gut
Manche Paro-Endo-Fälle verlaufen ausgesprochen foudroyant.
Kleine Serie
Kleine Timbuktu-Serie von Dr. Norbert Frank, 92521 Schwarzenfeld
Ist das der Beweis…..
.....dass das Timbuktu-Protokoll dem Desinfektionsprotokoll nach dem sogenannten "Goldstandard" der Endodontologen überlegen ist? Der Kollege Wolfgang Weidinger aus Berlin schreibt zu seinem Fall: Damals habe ich noch nach dem üblichen Standard behandelt (viel...
Jubiläum
Keine Ahnung, warum die Patienten kaum noch Gold-Inlays wollen. Sie behängen sich von oben bis unten mit goldenem Tand, Zahnfüllungen müssen aber neuerdings (fast immer) weiß sein. Für denjenigen, der nicht gerne zum Zahnarzt geht, sicher keine gute Wahl. Dies um so...
(Fast) noch ein Jubiläum
Diese Patientin haben wir vor 17 Jahren saniert. Die Wurzelfüllungen an 24 und 25 würden wir heute vor der Versorgung revidieren (der Stift ist auch nicht von uns). Damals haben wir noch klinisch unauffällige Zähne in größere Versorgungen integriert, wenn die...
….war es ein guter Monat
1) Exazerbation nach Resektion: Die Endodontologen publizieren international für die Revision von Zähnen mit apikaler Aufhellung eine Ausheilungsquote von rund 60 % (Sjögren). Bei allem Respekt, aber dieses Ergebnis erreichen wir mindestens bei wurzelgefüllten,...
Typischer Verlauf….
....nach nicht erfolgreicher endodontischer Ausheilung des bakteriellen Infektes vor dem definitiven Verschluss:. Das es auf sehr einfache Weise auch anders, bzw. in vielen Fällen sogar umgekehrt geht, zeigt der nächste Fall.
Exazerbation nach WSR
Die Erfolgsquote bei der Revision wurzelkanalbehandelter Zähne mit röntgenologisch nachgewiesener apikaler Ostititis wird in der Literatur trotz Fallselektion mit gerade einmal 60% angegeben. Zahlen über die Ausheilungsquote nach konservierender Behandlung von...
Periimplantitis?
Schon bei Füllungsmaterialien halten wir es für ausgesprochen problematisch, zu denjenigen zu wechseln, die gerade am lautesten angepriesen werden, ohne ihre angebliche Überlegenheit oder zumindest Gleichwertigkeit mit den klinisch in hoher Stückzahl bewährten in...
Unsere letzte Assistentin, unser jetziger Assistent und wir
Solche Fälle lösen unsere Ausbildungsassistenten routinemäßig. Hier ein Fallbeispiel unserer letzten Assistentin: In der wissenschaftlichen Literatur findet man keine Untersuchungen über die Erfolgsquote der konservierenden Revisionsbehandlung exazerbierender, bereits...
Follow up
Übersichtsaufnahme einer 50jährigen Patientin, die sich im Herbst 1999 mit einer alten, insuffizienten prothetischen Versorgung im Oberkiefer bei uns vorstellte, um mögliche Aternativen zu der ihr angeratenen Neuversorgung mit einer Totalprothese respektive zu einer...
Therapeutische via falsa
Da es am Anfang des letzten Jahrhunderts keine hochflexiblen Edelstahl- geschweige denn Niti-Feilen gab, sahen sich die Altvorderen, die mit weitgehend starren, extrem frakturgefährdeten Peeso- und Beutelrock-Bohrern und Walkhoff-Erweiterern arbeiten mussten,...
Typischer Verlauf
Der Verlauf einer gescheiterten Wurzelbehandlung ist geradezu typisch: Klinische Symptomatik: Aufbereitung und Wurzelfüllung Symptomfreies Intervall (bis zu mehreren Jahren) Exazerbation mit klinischer Symptomatik, häufig Fistelung oder Abszessbildung 1....
Bei uns funzt es nach wie vor
Die Endodontologen beklagen ja gerne, dass ihre Statistik durch die Vielzahl schwieriger Fälle belastet ist, die ihnen überwiesen werden, weil die Allgemeinzahnärzte mit ihnen nicht fertig werden. Gesetzt den Fall, man würde einen Endodontie-Score bilden, wie wir ihn...
Zacken in der Krone?
Ein weiterer ausgesprochen spektakulärer und aussagekräftiger Fall aus der Gemeinschaftspraxis Dr. Carl Ernst Grummt, Zahnarzt, Dr. Florian Grummt, Oralchirurg, Hornschuchpromenade 25, 90762 Fürth, www.dr-grummt.de Ganz besonders freuen wir uns darüber, hier einen...
Und noch einmal Zyste….
Ein toller Fall des Kollegen Dirk M. Otto, Nagolder Straße 60, 72160 Horb Wenn das keine Zyste ist, was dann? Hier sieht man sogar die geforderte "lamina dura" sehr schön. In einer Übersichtsarbeit aus 1998 beschreiben Nair et al., dass es sich bei 15 % der apikalen...
Noch einmal Zyste….
Die Gemeinschaftspraxis Dr. Carl Ernst Grummt, Zahnarzt, Dr. Florian Grummt, Oralchirurg, Hornschuchpromenade 25, 90762 Fürth, www.dr-grummt.de, schreibt zu diesem Fall: Ob das eine Zyste war/ist oder nicht ... , die innerhalb eines halben Jahres auf rein...
Ausheilung von Zysten
Lehrmeinung ist, dass man apikale Zysten im Gegensatz zu Granulomen konservierend nicht ausheilen kann. Warum eigentlich? In anderen Fachbereichen gelingt das doch auch (z.B. Emarsupielisation). Das Gegenteil ist natürlich ausgesprochen schwer zu beweisen, da...
Schlafende Hunde wecken
In 2003 zeigt David Figdor in seiner Studie, dass E. Faecalis auch unter extremen Bedingungen von Nahrungskarenz in verschlossenen Wurzelkanälen in einem metabolisch ausgesprochen reduziertem Zustand überlebensfähig ist. Chavez de Paz hat in 2003 zweihundert Zähne mit...
Bei anderen funzt es auch!
Besonders deutlich zeigt sich die Überlegenheit einer Behandlungsmethode gegenüber einer anderen immer dann, wenn die Revision der ersten unter Anwendung der zweiten den Misserfolg heilt. Hier ein sehr schönes Beispiel von Dr.Horst Landenberger, 65812 Bad Soden und...
Funktion und Bruxismus 2
Über unsere Auffassung, dass schlechte Gewohnheiten mit der Folge der Überlastung von minder resistenten parodontalen Strukturen ein wichtiger Kofaktor im multifaktoriell bedingten Krankheitsbild "Parodontits" sind, weil sie im Sinne eines locus minoris resistentiae...
Abgebrochenes Instrument 2
Engagiertes Bemühen um Zahnerhaltung führt zwangsläufig zu einer hohen Frequenz an Wurzelbehandlungen. Eine hohe Zahl von Wurzelbehandlungen bringt es mit sich, dass gelegentlich eine Feile im Kanal frakturiert, die häufig genug auf einfachem Wege nicht zu entfernen...
Auffüllen von Extraktionsalveolen
Ob man die Alveole nach Extraktion mit künstlichem Knochen auffüllt oder nicht, scheint für die Knochenregeneration keine entscheidende Rolle zu spielen. Viel wichtiger scheint es zu sein, dass man die Alveole sorgfältig auskratzt, dabei den Knochen ordentlich...
Der Qualität der individuellen Immunantwort….
....des jeweiligen Patienten kommt wie bei allen Infektionskrankheiten natürlich auch bei der Endodontitis und ihren Komplikationen eine nachhaltige Bedeutung zu. 1. Spätestens seit der Studie von Marending et al. ist bekannt, dass der Zustand des unspezifischen...
Der Ruf einer Praxis kann gut oder schlecht sein, …..
.....und für den Erfolg einer Praxis ist nichts so wichtig wie ihr (guter) Ruf. Wenn ein Zahnarzt allerdings einen sogenannten Ruf hat, ist das immer ein guter. Und diesen Ruf erlangt man nicht durch die Extraktion von erhaltungswürdigen Zähnen und die Zerstörung...
Kein Wunder, dass…..
....Wurzelspitzenresektionen eine derart schlechte Prognose haben, wenn man den folgenden Fall einer Gangränbehandlung anschaut, bei der die infizierten Wurzeln in einer Sitzung aufbereitet, abgefüllt und resiziert wurden. Kunstfehler ist sicherlich ein großes Wort,...
Andere 4
Bei Anderen, die die Timbuktu-Methode einsetzen, funzt es inzwischen auch in schwierigeren Situationen routinemäßig. Hier ein weiterer schöner Fall von Vermeidung einer Freiendsituation mit der Folge von herausnehmbarem Zahnersatz oder Implantat(en) des Kollegen Achim...
Parodontitis und Bruxismus
Wenn man bei Pubmed die Begriffe "periodontitis" and "bruxism" eingibt, erhält man 20 Treffer. Klickt man bei Ramfjord („Significance of occlusion in the etiology and treatment of early, moderate, and advanced periodontitis”, J Periodontol. 1981 Sep;52(9):511-7....
Die Frage, ob es Sonntagfälle sind,……
......die bei Fallvorstellungen, die den Vorteil besonderer Behandlungsverfahren beweisen sollen, präsentiert werden, ist mitunter nur schwer oder ohne entsprechende eigene Erfahrung häufig auch gar nicht zu beantworten. In unseren Augen kann man in dieser Beziehung...
Nur ein Kommunikations-Problem?
In diesem Fall kann man - wenn man denn überhaupt noch nach Erklärungen suchen mag - eigentlich nur annehmen, dass der betreffende Kollege, der selber nicht implantiert, inzwischen selber glaubt, dass implantatgetragene Versorgungen in welchem Fall auch immer die für...
Rauchen und Parodontitis
Konrad Thielemann formuliert 1938 in seiner „Biomechanik der Paradentose“ ein mechanisch-funktionelles Ursache-Wirkungs-Modell, das sich - obwohl in vielen Teilaspekten in den Folgejahren wissenschaftlich sehr gut belegt - aufgrund seiner Eindimensionalität auf Dauer...
…..funzt es auch nicht schlecht
Ausgesprochen schöner Fall von Achim R. Bofinger, 70794 Filderstadt
…..darüber, ob Zahnärzte gute oder schlechte Endodontie betreiben
Dieser Patient musste bei seinem (ehemaligen) Zahnarzt für die Wurzelbehandlung nichts dazuzahlen...... .....während dieser Patient €120,- bezahlen musste, um -wie sich sein (ehemaliger) Zahnarzt ausdrückte- die optimale Länge für die Wurzelfüllung elekronisch...
…..ist es inzwischen in München ganz offensichtlich gefährlich geworden.
An einem der letzten Wochenenden suchte eine unserer Patientinnen, Studentin und gleichzeitig Freundin meiner Familie, den zahnärztlichen Notdienst mit akuten Beschwerden an einem unteren Sechser auf. Messaufnahme bei einem apikal unauffälligen Zahn 46 (KLick!) Der...
…..funzt es auch
Kleine Serie.... .......von Dr. Norbert Frank, 92521 Schwarzenfeld
Koronales Leck 2
Klinisch manifestierte Exazerbationen und röntgenologische Zeichen für die Entwicklung apikaler Aufhellungen auch Jahre nach primär erfolgreicher Wurzelbehandlung sind ein genau so bekanntes wie prozentual häufiges Phänomen in der Endodontie. Erfolgte die Behandlung...
Applaus für Kunstfehler
Leider mussten wir diese Seite abändern. Hier die neue Version. Wir hatten Ihnen diesen lehrreichen Fall vorher mit schönen Bildern gezeigt. Wir waren dabei auf Fremdbilder angewiesen, da wir selbst in der Folge der indikationsgerechten Behandlung von Abszessen zum...
Hemisektion und Implantat
Das Märchen vom bakterienfreien Granulom
Diesen männlichen Patienten haben wir 1992 im Unterkiefer prothetisch und bei dieser Gelegenheit an 46 und 35 (VitE) in einer Sitzung endodontisch versorgt. Der 36 war seit Jahren wurzelbehandelt, wurde mit Hilfe eines (viel zu dicken) Radix-Anker aufgebaut und wegen...
Es geht doch nichts über Erfahrung……
Über diesen ungewöhnlich verlaufenden Langzeitfall haben wir schon im Fallbeispiel Knirschen zweimal berichtet. Wir hatten in 2001 den linken oberen Quadranten mit Implantaten neu versorgt. Im September 2004 stellte sich der ältere, männliche Patient mit Schmerzen...
Unser täglich Brot…..
Wenn man bedenkt, dass man, wenn man sich bei der Behandlung der Endodontitis und ihrer Komplikationen an die allgemeine Infektionslehre hält und unter der Anwendung geeigneter potenter Desinfektionsmittel lange und sorgfältig desinfiziert, bei erweiterter...
Das Märchen von der „iuvenilen Parodontitis“ als eigenständigem Krankheitsbild
Konrad Thielmann formuliert 1938 in seiner „Biomechanik der Paradentose“ ein mechanisch-funktionelles Ursachen-Wirkungs-Modell, das sich - obwohl in vielen Teilaspekten in den Folgejahren wissenschaftlich sehr gut belegt - aufgrund seiner Eindimensionalität auf Dauer...
Bei Anderen funzt es auch ….
Ein sehr schöner Fall von "Wundersamem Knochengewinn" wurde und von Dr. Geritt Galler, Schlopweg 8, 38259 Salzgitter Bad zur Veröffentlichung zu Verfügung gestellt.Auch an diesem Paro-Endo-Beispiel wird deutlich, dass die Ausheilung des knöchernen Infiltrates auch...
Grenzen der Zahnerhaltung 5
Wir wundern uns anlässlich der berichteten Häufigkeit von Längsfrakturen als Ursache für den Verlust wurzelbehandelter Zähne regelmäßig darüber, dass wir solche Fälle praktisch nicht sehen und denken, dass das möglicherweise daran liegt, dass wir bemüht sind, schwache...
Es war schon immer etwas gefährlicher…….
......in München privat versichert zu sein.Planungs-OPT für eine vollständig implantatgetragene, festsitzende Versorgung im Ober und Unterkiefer im August 2004 (Klick!) Zum Glück für diesen Patienten und alle Ärzte für Zahnheilkunde - und natürlich auch für alle...
Das Märchen vom „Koronalen Leck“…..
....oder "coronal leakage", wie es korrekt auf Neudeutsch heißt. Zahnärzte sind empfindsame Seelen, die es wahrscheinlich umbringen würde, zugeben zu müssen, dass die Ursache für einen regelmäßigen therapeutischen Misserfolg in ihrem eigenen, unkonsequenten oder...
Das Märchen von der „Biologischen Breite“
Wenn man sich den Ausdruck "Biologische Breite" einmal auf der Zunge zergehen lässt, schmeckt man eigentlich gleich, dass es sich nicht um ein wirkliches anatomisches Substrat handeln kann. Unter dieser ominösen "Biologischen Breite" versteht man - wenn wir die...
Wer nicht glauben will muss leiden…….
OPT-Ausschnitt Juli 2001 (Klick!) Der zu diesem Zeitpunkt 61-jährige, männliche, seit mehreren Jahren nicht mehr rauchende Kollege mit Gruppenführung bei abradierten Eckzähnen und überdurchschnittlicher Mundhygiene stellte sich im Juli 2001 mit einem Parodontalabszess...
Vermeidung freiliegender Kronenränder in der Front
Im Laufe weniger Jahre entstehende freiliegende Kronenränder sind unschön und ausgesprochen ärgerlich, insbesondere bei eigenen Arbeiten im Frontzahnbereich. Zum Glück kann man sie in vielen Fällen vermeiden. Freiliegende Kronenränder entstehen durch folgenden...
Stressgeschiebe bei großer UK-Brücke
Bei einer solchen Brücke ist das Stressgeschiebe distal 35 zwingend erforderlich, wenn man den Fünfer -und damit die Brücke- auf Dauer erhalten will, da er mitten im Rotationszentrum der Unterkieferspange und damit an einer Position steht, in der er bei einer starren...
Verblockung bei Bruxismus III
Vor gar nicht so langer Zeit hatten wir einen Fall einer 5 Jahre alten Frontzahnversorgung bei Bruxismus gezeigt, den wir mit sekundär verlöteten Einzelkronen versorgt haben (siehe auch unter sekundaer II) Auf die Vorteile der parodontal einwandfreien Verblockung...
Sorgfältige Desinfektion Statt Extraktion oder 3. WSR
Dieser Patient mit Zustand nach alter WF und 2 jeweils nicht sehr langfristig erfolgreichen Wurzelspitzenresektionen an Zahn 14 kam zu uns, nachdem er bei der Suche nach einer Alternative zur Extraktion oder 3. WSR über das Internet von der "Methode der sorgfältigen...
Implantate zur Pfeilervermehrung 3
Früher, als man noch nicht über so viel Erfahrung mit der Haltbarkeit und Belastungsfähigkeit von Implantaten verfügte, hat man häufig sehr viel mehr Implantate gesetzt als für die angestrebte prothetische Versorgung notwendig waren. Einen unter diesem Blickwinkel...
Sekundäre Verlötung von Einzelkronen bei Bruxismus
Insbesondere bei prothetischen Versorgungen im Frontzahnbereich ist es nicht zuletzt für den eigenen Ruf ausgesprochen wichtig, ästhetisch befriedigende Ergebnisse zu erzielen. Damit diese Ergebnisse genau wie der Ruf auch auf Dauer befriedigend bleiben, darf man die...
Kassen-Endo…………(Vorsicht! Glosse!)
Wie z.B. bei dieser jungen Osteuropäerin mit "Russich-Rot-Endo" . Nach dem neuen BEMA (Richtlinien und Gebührenordnung für gesetzlich versicherte Patienten) eine geradezu klassische Kassenindikation: a) geschlossene Zahnreihe wird erhalten, b) Wurzelfüllung bis zur...
Langzeiterfolg bei Revision praktisch 100%ig voraussagbar
Während die Spezialisten Ihre Performance durch ihre gegenüber dem Praktiker angeblich höheren Fallzahlen von Revisionen belastet sehen, freuen wir uns über jeden Zahn mit deutlicher apikaler Aufhellung und schlechter WF, der uns vor die Giromatic kommt, weil er nach...
Grenzen der Zahnerhaltung 4
Über die Segnungen der sekundären Verlötung von Einzelkronen bei Bruxern und/oder im Grenzbereich der Zahnerhaltung in Hinsicht auf Funktion und Ästhetik haben wir ja schon früher ausführlich berichtet. Hier ein weiterer Fall aus dem Seitenzahnbereich:
Tissue Management 2
In der Folge der Amerikanisierung der deutschen Zahnheilkunde müssen wir "alten Säcke" ja nicht nur in der Endodontie mühsam allerlei neue Begriffe lernen und sie einigermaßen bedeutungsvoll und flüssig über die Lippen bringen, um mitreden zu können, wenn die jungen...
Grenzen der Zahnerhaltung 3
Auch über diesen Fall hatten wir anlässlich seiner Behandlung vor knapp 3 Jahren unter der Überschrift "Teleskopierende Versorgung im schwer geschädigten Restgebiss" bereits berichtet. Unter http://www.tarzahn.de/Rationelle%20Prothetik/Tele2/tele2.htm finden Sie eine...
Grenzen der Zahnerhaltung 2
Diesen in vielerlei Hinsicht interessanten und vor allen Dingen ausgesprochen lehrreichen Fall , den wir seit 1992 betreuen und über den wir schon mehrfach berichtet haben, finden Sie vollständig unter http://www.tarzahn.de/Fallbeispiele/Fallbeispiel10.htm Im Dezember...
Sekundäre Verlötung von Einzelkronen
Die primäre und die sekundäre Verblockung erleben - nicht zuletzt im Windschatten der Implantologie- eine Renaissance. Früher wurde innerhalb prothetischer Restaurationen aus Stabilitätsgründen möglichst viel verblockt. Aufgrund der anfangs sehr ungenauen Betrachtung...
Reaktive Knochenneubildung
Klinisch fistelnder Zahn 34 im August 2003 CHKM gilt ja bei vielen Wissenschaftlern, die sich nicht so genau mit der Galenik dieses Desinfektionsmittels beschäftig haben, als eine höchst aggressive Substanz mit starker Ätzwirkung. Es handelt sich hier um einen...
Manche Fälle laufen……..
.......ausgesprochen be....scheiden. Und wenn es sich dann (zufällig?) auch noch um eine Bekannte handelt, dann braucht es schon ein ziemlich breites Kreuz und Erfahrung, um nicht an sich selbst zu verzweifeln und sie am langen Ende mit viel Geduld und noch mehr...
Grenzen der Zahnerhaltung
Manche Fälle sehen auf den ersten Blick relativ unproblematisch aus, so dass man nichts Böses ahnend mit der Behandlung beginnt. Unmittelbar nach Therapiebeginn (in diesem Falle gleich nach Abnahme der alten Kronen) entwickeln sie jedoch eine ausgesprochen...
Heilung einer Komplikation mit Super-EBA-Zement und Cerasorb ?
Jeder hat mal einen Tag, an dem er aus welchem Grund auch immer nicht konzentriert genug ist. Gerade bei Routineverrichtungen besteht ja nicht nur in der Zahnheilkunde die größte Herausforderung darin, es immer wieder gleich und immer wieder gut zu machen. Zustand...
Follow-UP Guru-Endo
Dass ein Fall, wie der unten beschriebene, den wir 2001 vorgestellt hatten, auch langfristig mit der Timbuktu-Methode lösbar ist, zeigt die Kontrollaufnahme fast 3 Jahre nach WF. Verlaufskontrolle im Oktober 2003 mit ausgeheilter apikaler Ostitis bei völliger...
Unser schönstes Endo-Erleb….ääähhh..-Ergebnis
Es handelt sich um einen 12-jährigen Jungen aus dem Raum Nürnberg, der in 2002 fahrradfahrend mit den beiden Oberkiefereinsern gebremst hatte. Im Anschluss an den Unfall, bei dem große Teile der Frontzahnkronen verloren gegangen und beide Pulpen eröffnet worden waren,...
Zauberpaste 2
Jede Behandlungsmethode, sei sie auch noch so erfolgreich, hat ihre Grenzen, was selbstverständlich auch auf die Timbuktu-Methode zutrifft. Um diese Grenzen kennen- und beschreiben zu lernen, bleibt keine andere Möglichkeit als sie in Absprache mit dem und nach...
Manchmal ist es zum Glück auch von Vorteil, ……
......wenn die finanziellen Ressourcen relativ begrenzt sind.Dieser Patientin war mehrfach und von verschiedener Seite bedeutet worden, ihre zunehmend verzweifelte Frontzahn-Situation sei nur mittels Extraktion und nachfolgender Implantation ästhetisch befriedigend zu...
Zauberpaste 1
Die Ausbildung zum Arzt für Zahnheilkunde leidet auch darunter, dass die Studenten in den ärztlichen Fächern von ärztlichen Dozenten unterrichtet werden, die über nur sehr marginale Kenntnisse in der Zahnheilkunde verfügen. Auf der anderen Seite werden sie in den...
Irgendwie sägt man…….
............ mit der Anwendung der Timbuktu-Methode -zumindest auf den ersten Blick- ständig an dem Stuhl, auf dem man sitzt. Denn Zahnärzte, die erfolgreich Endodontie betreiben, bauen einfach weniger Brücken und implantieren weniger. Auf den zweiten Blick wird man...
Revision 3
Revisionen solcher in jeder Beziehung insuffizienter Wurzelbehandlungen stellen eine schnell und komplikationsarm durchzuführende Maßnahme mit sicher voraussagbarem Erfolg dar, wenn der Nachbehandler die erforderliche Geduld zur sorgfältigen Desinfektion aufbringt....
Palliativ
Was macht man mit einem weitgehend zerstörten 12 bei einer Patientin, die momentan nicht die Mittel für eine definitive Versorgung aufbringen kann? Man kann den Zahn natürlich extrahieren und temporär mit einer herausnehmbaren Klammerprothese versorgen. Man kann aber...
Eigentlich kein Wunder, dass……
......das Interesse für und die Liebe zur Zahnerhaltung unter den gegenwärtigen Bedingungen so schwierig zu vermitteln ist. Der folgende Fall wäre schließlich ökonomisch interessanter und fachlich weniger anspruchsvoll mit 1, 2 oder sogar 3 Implantaten auch...
Unwirksam und nicht indiziert?
Wir möchten an dieser Stelle noch einmal auf einen Fall zurück kommen, über den wir hier schon einmal unter dem Titel "Guru-Endo" berichtet haben. Zum einen, weil es ein neues Röntgenbild anlässlich einer aktuellen Verlaufskontrolle gibt, vor allem aber deshalb, weil...
Röntgen
(gleichzeitig Follow up, siehe Timbu 6) Wenn man bei der Beobachtung von Verläufen, um unnötige Strahlen zu vermeiden, gezwungen ist, OPT-Befunde mit denen in Zahnfilmen zu vergleichen, muss man aufpassen, Fehleinschätzungen zu vermeiden.Das OPT ist eine...
GANZHEITLICHKEIT
Dass man zahnmedizinische Problemstellungen im medizinischen Sinne ganzheitlich betrachten muss, dass es also nicht genügt, lediglich Teilaspekte einer Symptomatik zu behandeln, zeigt der folgende Fall.Der mit einer Einzelkrone versorgte 24 war auffällig geworden,...
HEMISEKTIONEN
Hemisektionen stellen eine ausgezeichnete Methode der Zahnerhaltung dar, wenn die Statik beachtet wird. 1. Fall In diesem Fall war es zu einer Längsfraktur des 16 bei Zustand nach WF und Versorgung mit einer großen Amalgamfüllung (der Zahnfilm zeigt noch die alte...
Revision 2
Diese deutliche apikale Aufhellung entdeckten wir als Zufallsbefund anlässlich einer prothetischen Planung. Die insuffiziente WF war mehr als 15 Jahre alt und klinisch unauffällig. Die Patientin klagte lediglich auf Nachfrage über ein sporadisch auftretendes, diffuses...
Revision 1
Endodontische Spezialisten erklären ja häufig, dass ihre Erfolgsstatistik durch die hohe Zahl an Revisionen belastet ist, die sie aufgrund von Überweisungen vornehmen müssen. Wir können diese Einlassung für unsere Methode der sorgfältigen Desinfektion nicht...
Cerasorb 1
Die Auffüllung von Knochendefekten mit Cerasorb und dessen anschließender Umbau zu einer röntgenologisch knochendichten Struktur funktioniert wirklich zuverlässig. In diesem Fall erfolgte keinerlei Zugabe von autologem Knochen. Die Knochenhöhle wurde lediglich...
Wie kann dat??
Wenn man eine Linie zwischen dem Foramen mentale und der Wurzelspitze von 43 zieht wird deutlich, dass die Wurzelspitzen von 44 und 45 deutlich tiefer stehen als vor 15 Monaten. Der Patient gibt sehr glaubwürdig an, keine schlechten Gewohnheiten wie z.B. Pfeifen- oder...
Amalgam
Amalgam ist, zumindest was den Langzeit-Erhalt der Füllung betrifft, mit Sicherheit einer der besten Werkstoffe, der uns in der Zahnheilkunde zu Verfügung steht. Kunststoffe sind - insbesondere wenn die Indikation beachtet wird - aber auch nicht so schlecht. Diese...
Verblocken OK
Der Gedanke, dass man Zähne möglichst nicht verblocken darf, stammt aus einer Zeit, in der man zumindest in Deutschland noch nicht recht viel über Parodontitis wusste. Man war der irrigen Ansicht, die Parodontitis werde durch die Behinderung der Eigenbeweglichkeit der...
Guru-Endo
Man hat ja nicht oft Gelegenheit, die Wurzelfüllung eines Spezialisten revidieren zu dürfen. Denn welcher Patient geht schon zum gemeinen Zahnarzt, wenn der Guru gescheitert ist? Uns ist es bisher erst vier mal passiert.Röntgenologisch eine astreine WF in 2 Sitzungen...
Fistel
Nicht häufig gelingt es, eine Fistel röntgenologisch so sauber darzustellen wie in diesem Fall eines füllungs- und kariesfreien 14, der ohne nachvollziehbaren Grund plötzlich klopfschmerzhaft wurde, fistelte und einen Lockerungsgrad von L=I-II aufwies. Es dauert zwar...
Prothetische Komplikation
Wer kennt ihn nicht, diesen überaus unangenehmen Augenblick im Leben eines Zahnarztes..... Plötzlich steht ein Patient, dem man vor gar nicht so langer Zeit eine große Arbeit eingegliedert hat mit einem klopfschmerzhaften, gangränösen Pfeiler in der Praxis. Gerade in...
Dichter Verschluss 2
Einerseits wird gefordert, wurzelbehandelte Zähne möglichst schnell definitiv und dicht zu verschließen, da man die Reinfektion der Wurzelkanäle von koronal her fürchtet (deren Diagnose nach unserer Auffassung allzu oft für die Exazerbation von belassenen Keimen...
Abgebrochenes Instrument
Engagiertes Bemühen um Zahnerhaltung führt zwangsläufig zu einer hohen Frequenz an Wurzelbehandlungen. Eine hohe Zahl von Wurzelbehandlungen bringt es mit sich, dass gelegentlich eine Feile im Kanal frakturiert, die häufig genug auf einfachem Wege nicht zu entfernen...
Dichter Verschluss
Von Endodontisten wird als Erklärung für den langfristig auftretenden Misserfolg gerne die Reinfektion des Kanalsystems über einen undichten Verschluss angegeben, obwohl es zur Bestätigung dieser Ansicht recht wenige Studien gibt. die noch dazu keineswegs überzeugend...
Augmentation Follow Up
Wir möchten nochmals auf den Augmentationsfall zurückkommen, den wir am 08. November 2001 veröffentlich haben.Die ursprünglich als therapieresistent eingestufte und ausgesprochen progredient verlaufende Parodontitis ist jetzt seit mehr als 2 Jahren bis auf den jetzt...
Implantologische Komplikation
Es handelt sich um einen Patienten mit stark eingeschränkter Mundöffnung, bei dem im Juni 2001 eine Implantation mit internem Sinuslift mit einem Gemisch aus autologem Knochen und Cerasorb bei initial bereits grenzwertiger Knochendicke von weniger als 6 Millimetern in...
Teleskopierende Brücke bei agressiver Parodontitis
Bei diesem Patienten handelt es sich um einen 38 Jahre alten Mann mit Verdacht auf aggressive (therapieresistente) Parodontitis, der sich im Dezember 2001 erstmals in unserer Praxis vorstellte. Er leidet unter anderem seit 3 Jahren unter Brechanfällen unklarer Genese....
Erhalt von festsitzendem Zahnersatz durch 1 Implantat
Implantate stellen eine ausgezeichnete Option zur Versorgung problematischer Fälle im Sinne der Vermeidung von Totalprothesen, des Eingliederns herausnehmbarer Prothesen bei völligem Pfeilerverlust und der Anfertigung von rein implantatgetragenen, festsitzenden...
Erhalt einer alten Restauration durch Implantate
Bei diesem Fall handelt es sich um eine telekopierende Versorgung aus ca. 1994 bei kleinem Geldbeutel des Patienten, die aufgrund zunehmender Lockerungsgrade der ursprünglichen Pfeilerzähne über die Jahre in mehreren Schritten erweitert werden musste. Als auf der...
Indikation I
In der Medizin steht und fällt alles mit der richtigen Indikationsstellung. Wenn die Indikation nicht stimmt, gerät alles ins Rutschen, wenn die Indikation hingegen stimmt, ist der Rest relativ einfach. Auf den ersten Blick und unter wirtschaftlichem Druck gerät man...
Differential-Diagnostik mit Akupunktur
Wir hatten ja schon an anderer Stelle über die erfolgreiche Anwendung der Akupunktur bei extremem Würgereiz berichtet. Dieser Fall beleuchtet eventuelle Möglichkeiten der Diagnostik in einer schwierigen Situation.Dieser Patient stellte sich mit starken, anfallsartigen...
Extraktion vor Chemotherapie
Diese 29-jährige Patientin wurde uns zur Zahnsanierung unmittelbar vor geplanter Chemotherapie wegen eines Mamma-Carcinoms überwiesen. Nach den Empfehlungen der DGZM handelt es sich eindeutig um einen Extraktionsfall (devitaler 12 mit ausgeprägter apikaler...
Tissue Management
Hier wäre sicher auch ein 12 mm (Wideneck) langes Implantat möglich gewesen. Nichtsdestotrotz haben wir lieber ein 10 mm langes genommen und es nach Vorbohrung auf 12 mm ordentlich versenkt. Das hat 2 Vorteile: a) wird das ästhetische Ergebnis besser undb) wird trotz...
WSR
Die Erfolgsaussichten für Wurzelspitzenresektionen werden in der Literatur nicht ausgesprochen günstig bewertet. Je nach Untersuchung werden langfristige Misserfolgraten bis deutlich über 50% angegeben. Hierbei ist zu beachten, dass - genau wie bei den...
Implantat als Pfeilerersatz 1
Früher, als man noch nicht über so viel Erfahrung mit der Festigkeit von Implantaten verfügte, hat man häufig sehr viele Implantate gesetzt. Einen unter diesem Blickwinkel extremem, zum Glück aber inzwischen überholten Ansatz stellt das Konzept der sogenannten "tooth...
Okklusales Frontzahntrauma
Okklusale Frontzahntraumen sind genau so häufig, wie sie übersehen werden. Dabei sind sind mit ausgesprochen gutem Erfolg leicht diagnostizierbar und therapierbar. Eine frühe Diagnose und eine indikationsgerechte Therapie erhält Zähne und Restaurationen, auch die...
Knirscher 1
Diese Patientin kam, weil ihr ihr Zahnarzt in einer Situation, in der sie nicht mehr ohne Schmerzen essen konnte, eine Versorgung mit zwei Totalen vorgeschlagen hatte und fragte nach einer besseren Alternative, die sie sich leisten könnte.Das ganze Ausmaß der...
Obertimbuktu 2
Es wird ja immer wieder behauptet, man könne endodontische Zysten nur chirurgisch, d.h. durch eine Wurzelspitzenresektion ausheilen. Wir sind uns da nicht so sicher. Den Beweis können wir allerdings nicht antreten, da wir Wurzelspitzenresektionen an selber...
Knochenabbau und WF
Ausgewanderte Front bei occlusalem Frontzahntrauma mit starkem Knochenabbau (Klick!). Ausgewanderte OK-Front bei Frontzahntrauma durch stark aufgewanderte UK-Front aufgrund von Bruxismus bei Zustand nach Par-Behandlung, ausgezeichnete Mundhygiene, alle Frontzähne mit...
Obertimbuktu 1
Es handelt sich um einen durch Fistelung komplizierten kombiniert endodontisch-parodontologischen Fall, wie er täglich vorkommt und genau so regelmäßig zur Extraktion gelangt. Dabei ist ein solcher Zahn mit Geduld und sorgfältiger Desinfektion sehr einfach zu...
Augmentation
In einer zahnärztlichen Newsgroup hatten wir eine ausführliche Diskussion über die Zusammenhänge bei Augmentation, Lockerungsgrad, Zahnerhaltung durch PAR, oder Ex und Implantate. In dieser Diskussion wurde Prof. Lindhe mit der Bemerkung zitiert, er habe seine Meinung...
Timbuktu 3
Jede Behandlungsmethode hat selbstverständlich ihre Grenzen..... Und als wir bei der klinischen Inspektion Fistel im Bereich des Vierers sahen, dachten wir, es hätte uns diesmal erwischt. Immerhin handelte es sich um einen vor Jahren wurzelbehandelten gangränösen...
Akupunktur
Akupunktur ist bei extremen Würgern häufig außerordentlich hilfreich. Bei diesem Patienten, der in der Regel schon das Würgen anfängt, wenn er zur Behandlung den Mund weit aufmachen soll, konnte mit Hilfe einer einzelnen Akupunkturnadel im Kinnbereich völlig...
Timbuktu 2
Nicht häufig gelingt es, einen Fistelverlauf sozusagen von der Quelle bis zur Mündung darzustellen wie in diesem kombinierten Endo-Par-Fall: In gleicher Sitzung erfolgte die großzügige Aufbereitung der drei auffindbaren Kanäle mit Überinstrumentierung, die...
Teleskopierende Versorgung im parodontal stark geschädigtem Restgebiss
Dieser Patient suchte uns Anfang 1997 wegen einer Zweitmeinung auf, weil ihm vom vorbehandelden Kollegen die Extraktion aller seiner verbliebenen Frontzähne und die anschließende Versorgung mit einer Totalprothese angeraten worden war. Alle Zähne waren parodontal sehr...
Timbuktu 1
Bei diesem beherdeten 16 sieht es eigentlich aus, als ginge die Aufhellung von der mesialen Wurzel aus, was auch nicht verwunderlich gewesen wäre, da sie praktisch nicht aufzubereiten war. Nichtsdestotrotz gelang es mit Geduld und der Timbuktu-Methode den...
Overtreatment
Klar, wir reißen uns auch nicht darum, jede Menge Kinder zu behandeln. Man muss sich plötzlich runter beamen, sich noch mehr Zeit nehmen als sonst, alles genau erklären, es dauert fürchterlich lange und ist mehr psychologisch als medizinisch anspruchsvoll, dafür aber...
Zustand nach klassischer Versorgung
Typische, angeblich gnathologisch korrekte Versorgung aus den 80iger Jahren (Klick!) Es handelt sich um eine 20 Jahre alte, typische symptomatische Versorgung, wie sie die Gnathologen der ersten Stunde damals z.B. bei Kiefergelenksbeschwerden routinemäßig angefertigt...
Überstehende Kronenränder
Ca. 10 Jahre alte, deutlich überstehende, unterhakbare Kronen (Klick!). Überstehende, oder sogar demonstrativ sehr schön unterhakbare Kronenränder stellen ja eine allgemein beliebte Gelegenheit da, den Vorbehandler in den Augen des Patienten madig zu machen und für...
Triplette
Sonntagesfälle hat (fast) jeder. Wenn es gar keine Fälle mit apikaler Ostitis gäbe, die allein unter der Anwendung von Ca(OH)2 ausheilen würden, würde es ja niemand anwenden. Ca(OH)2 ist ja zweifellos ein gutes Medikament und ein potentes Desinfektionsmittel. Leider...
Privat versichert in München?
Es war schon immer etwas gefährlicher, in einer Stadt wie München privat versichert zu sein. Diese etwa dreißigjährige intelligente Patientin stellte sich mit Beschwerden beim Kauen und temperaturempfindlichen Zähnen wegen einer Drittmeinung bei uns vor. Vor gut einem...
Implantatvermeidung
Die Frage Implantat oder konventionelle prothetische Versorgung durch eine Brücke stellt sich in diesen modernen Zeiten relativ häufig. Sehr häufig beantwortet sie sich durch die anatomischen Gegebenheiten (z.B. Sinuslift mit deutlich verschlechterter Prognose...
Periimplantitis-Tsunami?
Je mehr Implantate gesetzt werden, je mehr augmentiert wird, um sie überhaupt setzten zu können, und je länger die Beobachtungszeiträume werden, desto stärker rückt das Problem der Periimplantitis in den Mittelpunkt der Diskussion über die richtige Indikationsstellung...
Da wird sich die biologische Breite wohl oder übel neu einstellen müssen!
Was soll sie sonst auch machen? Immerhin stellt sie sich - wissenschaftlich belegt - bei indikationsgerechter Behandlung sogar nach chirurgischer Kronenverlängerung wieder neu ein. Eine solche ist allerdings nicht immer erforderlich, wie man an diesem Beispiel eines...
Manchmal läuft es einfach schlecht…..
....und man ist ja auch nicht jeden Tag gleich gut drauf und in der Folge gleich leistungsfähig. Keine Ahnung, was dieser bulgarische Patient in seinen Wurzelkanälen hatte. Russisch-Rot war es nicht. Die Revision war in jedem Fall ausgesprochen mühsam.Das war es dann...
Master of Praxisruinierung
Bisher hatten wir gedacht, es handele sich um die Folge des für eine Großstadt aufgrund des Überangebots an Zahnärzten typischen zunehmenden Verteilungskampfes. Dieser Fall hat uns eines Besseren belehrt, stammt er doch aus dem eher ländlich geprägten Chiemgau in der...
Sonntagsfall
Brücke aus 1991. Zustand unmittelbar vor Zahnreinigung im August 2008 (Klick!) Diese Brücke (13,12 - - 22,23) hatten wir in 1991 eingegliedert. Im selben Jahr war es in der Folge erheblichen Bruxismus zu einer Keramikfraktur am 23 gekommen. Diese hatten wir - ohne dem...
Ist doch verrückt, oder,….
...dass ein ordentlicher Zahnarzt wie dieser, der regelmäßig Bissflügelaufnahmen macht, um potentielle kariöse Läsionen in einem möglichst frühen Stadium zu erkennen.......seine Patienten verliert. Schauen Sie nur einmal, wie gut und minimal invasiv er die...
Shit happens…..
....und die Hemisektion ist häufig eine sehr elegante Methode dafür zu sorgen, dass alle Beteiligten mit einem blauen Auge davonkommen. Dieser Fall stammt noch aus der Zeit, in der wir glaubten, immer den dicksten Stift verwenden zu müssen. Das hat insbesondere im...
Älterer Patient, ältere Pfeiler, cooles Geschiebe
Die zahntechnische Kunst gibt es auch!
Langzeitverlauf einer prothetischen Versorgung eines extremen Bruxers
Während der normale Kaudruck ca. 20 Kp/qcm beträgt, erreicht er bei extremen Bruxern bis zu 400 Kp, also das Zwanzigfache. In der logischen Folge ist die prothetische Versorgung solcher Patienten sehr problematisch. Dies insbesondere im stark reduzierten Restgebiss...
Noch ein cooles Geschiebe
Die Patienten sind unterschiedlich. Während die einen regelrecht enttäuscht sind, wenn man ihnen sagt, in ihrem Falle sei eine Versorgung ohne Implantate angezeigt, möchten andere die Insertion von Implantaten auf Teufel komm heraus vermeiden. Das ist im ersten Fall...
Qualitäts-Management
Mal etwas ganz anderes: Wir sind ja verpflichtet worden, ein Qualitäts-Management-System in unseren Praxen zu implementieren. Keine Angst, Sie müssen Ihre Behandlungsweise nicht ändern. Wenn Sie beispielsweise mit Kuhmist abformen, können Sie das auch in Zukunft tun....
Coronal Leakage 3
Die Endodontologen haben eine Heidenangst vor dem koronalen Leck, auf Neudeutsch "coronal leakage", das in ihren Augen für ihre hohe Misserfolgsquote verantwortlich ist. Dahinter steht die merkwürdige Vorstellung, ganz schlimme Bakterien aus der Mundhöhle würden sich...
Sonntagsfälle?
Wir könnten Ihnen ja einen Sonntagsfall nach dem anderen präsentieren, obwohl diese immer wieder artikulierte Unterstellung mit Blick auf die hohe Zahl der Fallpräsentationen mit sicher 200 ausgeheilten apikalen Ostitiden natürlich immer absurder wirkt. Ganz besonders...
Hand aufs Herz!
Voraussagbar erfolgreiche Endodontie führt zu festsitzendem Zahnersatz. Nicht voraussagbar erfolgreiche Endodontie führt zu Lücken, zu Brücken, zu Implantaten und häufig genug auch zur prothetischen Katastrophe mit anschließendem herausnehmbarem Zahnersatz. Eine...
Kurzer Blick auf unsere laufenden Bemühungen
Nach der wissenschaftlichen Literatur kann man unter Anwendung des Endodontie-Protokolls nach dem sogenannten Goldstandard bei devitalen Zähnen mit apikaler Ostitis eine klinische und röntgenologische Ausheilungsquote von gerade einmal um 70% erreichen. Bei der...
Der Platinstandard in der Endodontie
Gemeinschaftspraxis Dr. Martin Schärfe & Irini Schärfe , Zahnärzte, 27374 Visselhövede, Süderstraße 40 , Tel .+ Fax: 04262-4343, e-mail: martin_schaerfe @ t-online.de, Visselhövede, d. 31.05.2009 Leserbrief zum Disput über die Endodontie Wie viele Engel passen...
Es muss – insbesondere mit Rücksicht auf die Störe – wirklich nicht immer Kaviar sein!
Die Überweisung für eine Augmentation mit autologem Knochen aus dem Beckenkamm und anschließender prothetischer Versorgung auf 2 Implantaten ist schnell ausgestellt. Den Patienten zielgerecht in dieser Richtung aufzuklären, keine große Affäre. Eine andere Frage ist,...
Erst hatte sie kein Glück…….
Diese Patientin stellte sich im April 2005 nicht einmal 13 jährig mit Schmerzen am linken unteren Milch-Fünfer bei uns vor. Je jünger die Patienten sind, desto schädlicher sind bekanntlich Röntgenstrahlen. Deshalb röntgen wir Kinder nur im Ausnahmefall. Da die...
15 Jahre Gleichgewicht des Schreckens!
Völlig egal, wie lange das röntgenologisch als apikale Aufhellung dokumentierte "Gleichgewicht des Schreckens", also die Pattsituation zwischen Angriff der Erreger und Verteidigung durch das Immunsystems an der Wurzelspitze, besteht. Wenn es gelingt, Zugang zu...
Sachen gibt’s………
Dear english speaking colleagues,…….
...........our german colleague Daniel Haensch, who is working in London, suggested to publish our concept for an endodontic treatment protocol in English too. He is inspired by the traceability of our presentation and particularly by the success of a protocol which...
Endo-Umfrage
Liebe Kolleginnen und Kollegen, die Umfrage des DAZ zur endodontischen Technik in der Anlage wurde im Rahmen einer Diskussion zwischen mir und Professor Stoll aus Marburg über Endodontie im DAZ-Forum veröffentlicht. Prof. Stoll hatte in seinem meiner Antwort...
An der Hochschule wäre dieser Fall…
..........möglicherweise unter der Diagnose" Paro-Endo-Fall bei therapieresistenter Parodontitis" gelaufen. Schauen Sie einmal auf den Zahn 17! Stark erweiterter Parodontalspalt mesial, praktisch bis zum Apex. Sondierungstiefe > 10 mm. Lockerungsgrad deutlich II....
Wo rohe Kräfte sinnlos walten….
Keine WF, nicht einmal eine Füllung. Nichtdestotrotz ein gespaltener Prämolar bei einer IKP-ZKP-Differenz mit Vorkontakt links im Bereich der Prämolaren. Dass es sich um einen massiven Bruxer handelt, zeigt sich nicht zuletzt daran, dass die palatinalen Wurzeln des...
Das wurde aber auch mal Zeit!
Die folgenden Veröffentlichungen passen gut zum nächsten Fall (Nr. 200): Download PDF 1 Download PDF 2 Kaum predigt man es 20 Jahre (veröffentlicht ist es seit mindestens 60 Jahren) schon räumen beide Autoren mit dem Vorurteil auf, dass es - wie vielfach insbesondere...
Schlechte diagnostische Unterlagen schaffen Lücken!
Dieses digital aufgenommene OPT einer unserer Patientinnen gelangte eher zufällig in unsere Hände. Angesichts des Riesenspalt im mesialen Bereich der Krone auf Zahn 36 haben wir uns mächtig erschrocken. Denn schließlich hatten wir den stark kariösen und frakturierten...
München hat ja nun weiß Gott eine sehr hohe Zahnarztdichte.
Vor diesem Hintergrund verwundert es dann schon, dass eine Praxis überleben kann, in der eine Zahnheilkunde betrieben wird, die offensichtlich streng an der NICHT-Zahnerhaltung ausgerichtet ist. Die 16jährige Patientin stellte sich mit einem stark klopfempfindlichen...
Eigentlich schade, dass ……
..........ein Kollege, der so ordentlich bemüht ist, Zähne zu erhalten, Patienten verliert, nur weil er der aktuell gültigen endodontischen Lehrmeinung folgt:Wir sind jedoch sehr zuversichtlich, den Zähnen 24 und 25 ein gleiches Schicksal durch eine...
Hand aufs Herz…..
..................hätten sie bei diesem Zahn 36 einen Erhaltungsversuch für erfolgversprechend gehalten? Nicht wirklich? Dann befinden Sie sich in guter Gesellschaft mit unserem vorletzten Ausbildungsassistenten. Auf unseren eindringlichen Rat ("Extrahieren können Sie...
Eigentlich kein Grund zu erkennen,,….
....warum es diese Versorgung nicht auf eine Tragedauer von 20 Jahren bringen sollte:Ausgangsbefund im August 1999 (Klick!) Die Patientin hatte sich im August 1999 mit der Diagnose "Therapieresistente Parodontitis" bei uns vorgestellt. Sie wollte insbesondere ihre...
Wenn man sich nicht an die Lehrmeinung hält, ……
..... muss es nicht so schlecht laufen wie im Fall 206. Es gibt eine neuere Studie, die zeigt, dass sich die Biologische Breite sogar nach maximalinvasiver Therapie, wie sie eine chirurgische Kronenverlängerung darstellt, neu wieder einstellt. Was soll sie denn auch...
Es wird eng, meine Herren!
Hier sehen Sie OPT-Ausschnitte eines Patienten, der sich nach 8 Jahren Abwesenheit unerwartet wieder vorstellte. In 2002 hatten wir ihn wegen einer typischen druckdolenten vestibulären Schwellung behandelt und den Zahn, nachdem klinische Beschwerdefreiheit erreicht...
Manchmal denke ich……
.....man könnte praktisch alle apikale Ostitiden konservierend ausheilen, wenn man nur genug Geduld aufbringt. Und dass dabei die einzige Bedingung ist, dass man ausreichend Zugang zum Infekt herstellt, ordentlich aufbereitet und das für diesen Fall richtige...
Alleinstellungsmerkmal?
Wissenschaftliches hört man von der sogenannten "Wissenschaftlichen Fachgesellschaft für Ästhetische Zahnheilkunde" eher nichts. Um so emsiger ist sie nicht zuletzt mit Hilfe einer Marketinggesellschaft bemüht, die von Ihr fortgebildeten Meister der Ästhetik zu...
Kleine Serie….
.... des Kollegen Dr. Felix Kehr aus Dresden (www.zahnarzt-kehr.de) Fall 1:Fall 2:3. Fall:Galerie:
Schöne Doublette
Gangränöse Zähne mit apikaler Ostitis haben eine Ausheilungsquote von nur 70%, Revisionen von Zähnen mit apikaler Ostitis sogar von nur 60%. Zahlen über die konservierende Ausheilung von bereits resizierten Zähnen mit apikaler Ostitis liegen nicht vor. Da also selbst...
Schöne Doublette
Besonders aussagekräftig sind ja die Fälle, bei denen mehrere Zähne bei einem Patienten betroffenen sind, da sie eindruckvoll belegen, dass es sich nicht um Einzel-, um nicht zu sagen Sonntagsfälle handelt. Dies um so mehr, als es sich in diesem Fall um...















































































































