Nach der wissenschaftlichen Literatur kann man unter Anwendung des Endodontie-Protokolls nach dem sogenannten Goldstandard bei devitalen Zähnen mit apikaler Ostitis eine klinische und röntgenologische Ausheilungsquote von gerade einmal um 70% erreichen. Bei der Revision von Zähnen mit apikalen Aufhellung sinkt diese Quote trotz „intelligenter Fallauswahl“ (intelligent case selection) noch einmal deutlich auf 60%ab.

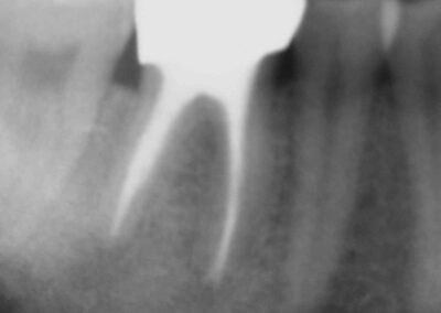
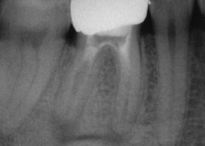
Auf der Basis einer sorgfältigen Evaluation unserer Fälle können wir ganz im Gegensatz dazu aussagen, dass wir in diesen Fällen mit unserem Endodontie-Protokoll eine Quote röntgenologisch knochendichter Ausheilung von sehr nahe an 100% erreichen. Dies gilt auch für bereits wurzelspitzenresezierte Zähne, die exazerbieren und keine Längsfraktur aufweisen.

Wenn es uns gelingt, Zugang zum Knocheninfekt zu schaffen, können wir diesen also ausgesprochen zuverlässig ausheilen. Das ist ja auch kein Wunder. Alles andere wäre vielmehr überraschend. Denn wo keine Bakterien mehr sind, hört eine bakterielle Infektionskrankheit auf zu existieren.

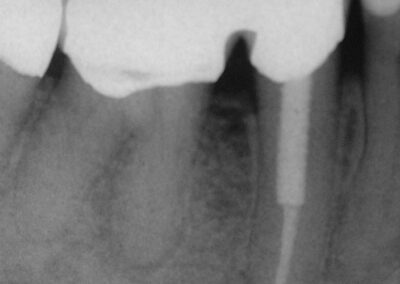
Wenn es uns nicht gelingt, klinische Beschwerdefreiheit zu erzielen, was bei nicht resezierten Zähnen die seltene Ausnahme von der Regel ist, oder – dies sehen wir nicht so selten bei bereits ein- oder zweimal resezierten Zähnen – wenn der Zahn zunächst beschwerdefrei wird, aber dann sehr schnell exazerbiert (< 6-8 Monate), stellen wir nach der Extraktion regelmäßig fest, dass der Zahn eine Längsfraktur aufweist. Wir können mit unserem Protokoll bei Zähnen mit Längsfraktur also zunächst Beschwerdefreiheit erreichen, wenn die Patienten sehr geduldig sind. Die betroffenen Zähne scheinen sich aber sehr schnell zu reinfizieren.

Und zum Abschluss noch eine schöne Doublette:

Galerie: