Ausgangsbefund im Juli 2006, leichte uncharakteristische Beschwerden, 37 und 36 reagieren auf Kältereiz vital, 37 ist fraglich klopfempfindlich. Therapie: Zahnreinigung, Einschleifen bei Verdacht auf zentrische/laterale Frük-und Fehlkontakte (Klick!)
Nur einen Monat später hat sich am 37 eine Fistel ausgebildet. Das Ausmaß des Knochenabbaus ist für die kurze Zeit ungewöhnlich groß (Klick!)
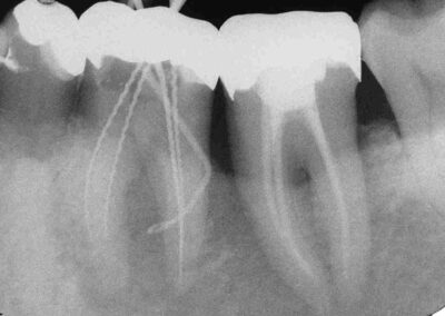
Nach einem beschwerdefreien Intervall stellt sich der Patient im Februar 2007 erneut vor. Diesmal hat sich am Zahn 36 eine Fistel ausgebildet (Klick!)
Nach einem beschwerdefreien Intervall stellt sich der Patient im Februar 2007 erneut vor. Diesmal hat sich am Zahn 36 eine Fistel ausgebildet (Klick!)
Unmittelbar nach WF im April 2007 bei Beschwerdefreiheit und geschlossener Fistel (Klick!)
1. Verlaufskontrolle im August 2007 bei anhaltender Beschwerdefreiheit und unauffälligem Sondierungsbefund (Klick!)