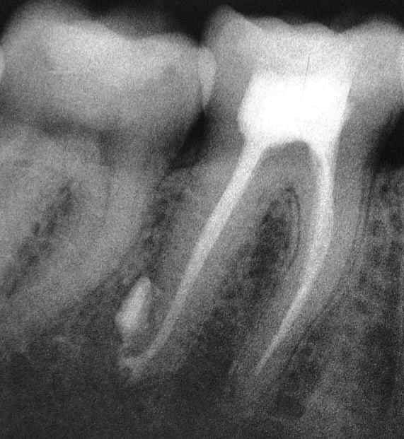
Durch Fistelung komplizierter, kombiniert endodontisch-parodontologischen Fall, wie er täglich vorkommt und genau so regelmäßig zur Extraktion gelangt. Dabei ist ein solcher Befund mit Geduld sehr einfach und routinemäßig auszuheilen.
Deutlich sieht man die abgefüllte Fistel und die nach sorgfältiger, geduldiger Desinfektion mit ChKM langsame knöcherne Ausheilung in Richtung Restitutio ad integrum unter Resorption des überpressten Sealers und den „wundersamen“ Knochengewinn. Knochen ist eben ausgesprochen langsam in seinem Stoffwechsel, so dass die Resorption unter röntgenologisch knochendichter Ausheilung nur sehr langsam erfolgt. Mit Blick auf den Verlauf kann man dieses Krankheitsbild dennoch mit großer Sicherheit als ausgeheilt bezeichnen.