In Kenntnis der neueren Literatur kann als wissenschaftlich erwiesen angesehen werden, dass

  • die bisherige Lehrmeinung, dass das Granulom eine „bakterienfreie Zone“ darstellt, falsch ist, sondern dass Granulome häufig oder in der Regel vielmehr mit denselben Keimen besiedelt sind wie das endodontische Hohlraumsystem selbst (Tronstad et al., 2003, Sunde et al. 2000, Ricucci et al. 2006),
  • dass bei der endodontischen Behandlung apikal beherdeter Zähne nach dem Goldstandard in mehr als 90% der Fälle überlebende, molekularbiologisch nachweisbar biofilmbildende Bakterien zurückbleiben (Nair et al. 2005),
  • dass es sich bei apikalen Ausheilungen je nach Autor in einer Frequenz zwischen ca. 15 und ca. 40% um Zysten handelt (Nair et al. 1998,, Weiland et al. 2006),
  • dass die bisherige Lehrmeinung, die konservierende Ausheilung von Zysten sei nicht möglich, falsch ist, sonders dass sie vielmehr durch forciertes Aufbereiten mit Schaffung eines Zugangs zur Zyste, Entleerung des Inhalts und Einbringen eines Desinfektionsmittels, auf das die dort befindlichen Keime empfindlich reagieren, möglich ist (Valois et al. 2005),
  • dass diese Tatsache offensichtlich von der zahnärztlichen Wissenschaft als so ungewöhnlich angesehen wird, dass der Bericht über einen solchen Einzelfall als würdig angesehen wird, im führenden brasilianischen Dental-Journal veröffentlicht zu werden (Valois et al. 2005),
  • dass die Ausheilung von apikalen Beherdungen und Zysten durch die indikationsgerechte Behandlung nach der Timbuktu-Methode nicht nur in unserer Praxis , sondern auch in Praxen von Kollegen, die dieses Protokoll anwenden, routinemäßig gelingt (ausgesuchte Fälle Beispiel 1, Beispiel 2, Beispiel 3),
  • dass eines der drei Hauptkriterien für die Prognose der Ausheilung der apikalen Aufhellung der Zustand des individuellen Immunsystems des jeweiligen Patienten ist (Marending et al, 2005), dass
  • die Anwendung von hochprozentigem NaOCl nach dem so genannten “ Wissenschaftlichen Goldstandard“ bei der Behandlung der Endodontitis und ihrer Komplikationen insbesondere dann zu gravierenden, teilweise lebensbedrohlichen Zwischenfällen führen kann, wenn es über den Apex hinaus gelangt (Hülsmann et al.1997), dass
  • es keinen wissenschaftlichen Beleg dafür gibt, NaOCl in der Endodontie in einer höheren als 1%igen Konzentration anzuwenden (Haapasalo et al. 2005), dass
  • die Erfolgsquote der als modern geltenden Endodontie selbst bei eingeschränkter Indikationsstellung zum Zahnerhalt nicht nur seit 100 Jahren unverändert ist (Figdor 2002), sondern vielmehr weit hinter der Performance zurückbleibt, wie man sie in der heutigen Zeit bei der Behandlung einer einfachen Infektionskrankheit in einem genau so überschaubaren wie umfassend beschriebenen anatomischen Umfeld, das noch dazu ideale Voraussetzungen für die Anwendung potenter Desinfektionsmittel bietet, erwarten darf (Kojima et al.1997), und
  • dass Ca(OH)2 gegenüber einer Vielzahl endodontitisrelevanter Keime vollständig unwirksam ist, weshalb man weltweit auf der Suche nach einer Alternative ist, die dieses Problem lösen kann (Waltimo et al. 2005).

Hieraus ergibt sich der logisch zwingende Schluss, dass die heute als modern geltenden Behandlungsprotokolle nicht indikationsgerecht sind:

  • da auch der immer weiter und mittlerweile ins Uferlose gesteigerte mechanistische Aufwand nicht dazu führen wird, die mechanische Desinfektion des endodontischen Hohlraumsystems sehr wesentlich über die mittlerweile erreichten 33% hinaus zu steigern (eigene Veröffentlichungen),
  • ein wesentlicher Anteil dieser technisch-mechanischen Bemühungen darin besteht, die Eröffnung des foramen apikale zu vermeiden und dadurch zu verhindern, dass das als Goldstandard definierte Desinfektionsmittel NaOCL über den Apex hinaus gelangt,
  • weil für NaOCl eine absolute Kontraindikation der Anwendung außerhalb des endodontischen Hohlraumsystems besteht.

Wenn man vor dem Hintergrund alter und neuer wissenschaftliche Belege die Ergebnisse der Studie von Marending et al. richtig interpretiert, wird deutlich, dass die als modern auftretende Endodontie ihre ärztliche Aufgabe, die in der Unterstützung des Patienten in seinem Bemühen um Selbstheilung besteht, nicht erfüllt, sondern vielmehr auf halbem Wege halt macht und die Lösung des Problems der Ausheilung der bakteriell infizierten apikalen Ostitis der Qualität und Leistungsfähigkeit der individuellen Immunantwort des jeweils betroffenen Patienten überlässt, die das in einem erheblichen Prozentsatz der Fälle nicht leisten kann.

Wenn Castagnola 1951 schreibt: „Um die Mitte des vergangenen Jahrhunderts (aus unserer heutigen Sicht ist es das vorletzte) war bei der Behandlung der gesunden sowie der erkrankten Zahnpulpa eine stark mechanisch-technische Auffassung vorherrschend….“. , wird deutlich, warum David Figdor zurecht beklagt, dass in den letzten 100Jahren keinerlei Fortschritt bei der Behandlung der apikalen Ostitis und damit in der Erweiterung der Indikationsstellung zum Zahnerhalt zu verzeichnen ist. Castagnola beschreibt mit diesem Satz nämlich genau den mechanistischen Ansatz, der wie kein anderer die amerikanische Lehre geprägt hat und noch heute dominierend ist. Die Kernaussage von Hofheinz „Die Ergebnisse werden bestimmten „Mitteln“ zugeschrieben, wohingegen der wahre Grund für eine erfolgreiche Wurzelkanalbehandlung doch wohl in der Art und Weise zu sehen ist, wie die mechanische Reinigung des Wurzelkanals durchgeführt wird“, der von Hochschulseite auch heute noch häufig und gerne mit „Es ist egal, was man in einen Zahn hineinfüllt, entscheidend ist, was man aus ihm heraus holt“, zitiert wird, ist wunderbar kurz und griffig. Nichtsdestotrotz ist er bezogen auf Ätiologie und Pathogenese der Endodontitis in ihrem besonderen anatomischen Umfeld genau so unvollständig wie falsch. Diese Aussage ist nur vor dem Hintergrund verständlich, dass die Anatomie der Zähne zu seiner Zeit noch nicht vollständig beschrieben war. Es bestehen darüber hinaus erhebliche Hinweise darauf, das diese Hofheinz zugeschriebene Deutung nicht von ihm selbst, sondern vielmehr vom deutschen Zahnarzt Miller stammt, der von Hofheinz lediglich zitiert wurde.

Die im Gegensatz zu Hofheinz ätiologisch und pathogenetisch begründete vollständige Beschreibung der indikationsgerechten Behandlung der Endodontitis und ihrer Komplikationen stammt von Prof. Otto Walkhoff Walkhoff . Sie besteht in:

  • geduldiger chemischer Aufbereitung mit einem potenten Desinfektionsmittel
  • möglichst weiter mechanischer Aufbereitung mit Schaffung eines Zugangs zur apikalen Aufhellung
  • Obturation mit einem desinfektionsmittelhaltigen Sealer

Da Walkhoff „seine“ Anatomie kannte, um die Therapieresistenz endodontitisrelevanter Keime wusste und für ihn kein Zweifel daran bestand, dass „die Tubuli für Bakterien wie Autobahnen sind, auf denen sie in in Achterketten aufmarschieren können“, ist es sicher auch kein Zufall, dass er die chemische Aufbereitung an die erste Stelle gestellt hat. Dies um so mehr als er die Meinung vertrat, der sorgfältig behandelnde Zahnarzt solle „zum Wohle seiner Patienten die Potenz und Renitenz der endodontitisrelevanten Erreger besser über- als unterschätzen“. Wo keine Bakterien mehr sind, gibt es eben auch keine bakterielle Infektionskrankheit mehr. Die Mechanik ist im Walkhoffschen Sinne in der Folge nicht Herr sondern Diener und Wegbereiter der Desinfektion.

In der Geschichte der Endodontie gibt es zahllose Versuche, notwendige Behandlungsschritte auszulassen, um die Therapie abzukürzen. Alle sind gescheitert. Extreme Positionen werden von denjenigen eingenommen, die glauben, lediglich gründlich desinfizieren zu müssen, wie auch von denen, die die mechanische Aufbereitung zum Maß aller Dinge erheben (Osswald 2006). Wir führen unsere Erfolge darauf zurück, dass wir beide Positionen integrieren, indem wir sowohl ordentlich aufbereiten und dabei Zugang zum apikalen Infekt schaffen, als auch anschließend genau so sorgfältig wie geduldig mit einem Mittel desinfizieren, das bei Abwesenheit von Nebenwirkungen alle Forderungen erfüllt, die man an ein Desinfektionsmittel stellen muss, das in diesem mechanisch in weiten Bereichen unzugänglichen anatomischen Umfeld zur Anwendung gebracht wird.

In der Folge erfüllen wir die von Walkhoff beschriebenen Bedingungen der indikationsgerechten Behandlung der Endodontitis und ihrer Komplikationen vollständig.

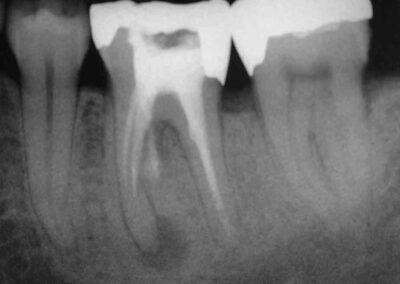
Der folgende Fall zeigt, dass eine vermutete Zyste nicht ausheilt, wenn es nicht gelingt, einen ordentlichen Zugang für das Desinfektionsmittel zu schaffen.

Der Patient stelle sich im Juni 2004 mit Aufbissbeschwerden und einer vestibulären Druckdolenz über der Wurzelspitze von 36 vor.

Ob in diesem Falle eine wirklich vollständige Ausheilung erreicht ist fraglich und bleibt abzuwarten. Wahrscheinlicher erscheint uns, dass sich nur ein momentan stabiles Gleichgewicht zwischen Angriff und Abwehr eingestellt hat. Die Zukunft wird auch zeigen, ob sich im Zusammenhang mit der via falsa interradikulär eine neue Aufhellung entwickelt, oder ob es sich um ein transitorisches Phänomen im Zusammenhang mit der deutlich fortgeschrittenen Resorption des überpressten Sealers handelt. Die dem Patienten als Alternative zum Zuwarten angebotene Hemisektion wurde vom Patienten abgelehnt. Dies zumindest so lange, wie Beschwerdefreiheit bei Belastung besteht.