Was soll sie sonst auch machen? Immerhin stellt sie sich – wissenschaftlich belegt – bei indikationsgerechter Behandlung sogar nach chirurgischer Kronenverlängerung wieder neu ein.

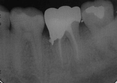
Eine solche ist allerdings nicht immer erforderlich, wie man an diesem Beispiel eines 37 sieht, der im Bereich des mesiovestibulären Höckers im Mai 2008 nur wenige Wochen nach der WF ausgesprochen tief frakturierte. Dass man in einem solchen Fall – um dem Patienten die chirurgische Kronenverlängerung zu ersparen – in weiten Bereichen „blind“, also nach Gefühl präparieren muss, versteht sich von selbst. Kautern lässt sich, nachdem man eine kleine Rille in den Knochen präpariert hat, um den Zahn nichtdestotrotz in allen Bereichen von der Krone fassen zu lassen, zur Blutstillung vor der Abformung nicht vermeiden. Natürlich kann man hier keine Hohlkehlpräparation mehr durchführen. Wenn die (hochgoldhaltigen) Kronenränder allerdings rasierklingenscharf auslaufen, werden sie in aller Regel wunderbar toleriert.