Man hat ja nicht oft Gelegenheit, die Wurzelfüllung eines Spezialisten revidieren zu dürfen. Denn welcher Patient geht schon zum gemeinen Zahnarzt, wenn der Guru gescheitert ist? Uns ist es bisher erst vier mal passiert.
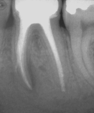
Röntgenologisch eine astreine WF in 2 Sitzungen (Mikroskop, NaOCl, CaOH2, Laterale Kondensation, sofortiger dichter Verschluss mit einer Krone ). Nachdem der Prozess unter kirschgroßer, druckdolenter Auftreibung des vestibulären Knochens im Juni 2002, also ca. 9 Monate nach WF, exacerbierte, erklärte der behandelnde Zahnarzt, die WF müsse (unter Zerstörung der Krone) revidiert werden, weil sich an der Wurzelspitze eine Entzündung gebildet habe.

Diese Aussage kann nach den vorliegenden Bildern eindeutlich als falsch identifiziert werden. Offensichtlich ist nämlich, dass dieser Prozess keineswegs neu entstanden ist, sondern dass es sich vielmehr um die Ausweitung einer entzündlichen Veränderung im periapikalen Bereich der mesialen Wurzel handelt, der bereits im September 2000 bestand. Offensichtlich ist ferner, dass das Beschwerdebild anlässlich der Erstversorgung zwar zunächst coupiert werden und in der Folge für eine gewisse Zeit Beschwerdefreiheit erzeugt werden konnte, dass er aber in keinem Fall ausgeheilt war. Die klinische Symptomatik hat also in diesem Fall eindeutig falsche Signale geliefert.

Die Revision, die er bezahlen sollte, hätte sich der Patient ja noch gefallen lassen, nicht aber die Neuanfertigung der Krone, die er auch bezahlen sollte, weil es sich nach Auffassung des Behandlers nicht um einen Zahnersatz-Mangel, sondern vielmehr um einen bedauerlichen, schicksalhaften Verlauf handelte.

Wesentlich aussagekräftiger als der röntgenologische Befund war wie immer die Klinik. So bildete sich die knöcherne Auftreibung und die Klopfempfindlichkeit in diesem Falle unter der Therapie mit täglichem Wechsel von CHKM und Spülung mit 3%igen H2O2 bei „bedingtem Offen-Lassen“ (Wurzel mit CHKM voll gefüllt, mit Watte zugestopft) schnell und kontinuierlich zurück, so dass der Zahn bereits nach wenig mehr als einer Woche bei völliger Beschwerdefreiheit provisorisch verschlossen werden konnte. Danach erfolgte -wegen des in diesem Falle komplizierten Verlaufs- der Einlagewechsel noch 3 mal im Abstand von einer Woche, dann die zweimalige Einlage von Ca2OH für 4 Wochen.

Die Aussage der Spezialisten, ihre Erfolgs-Statistik werde durch die bei Revisionen deutlich verschlechterte Prognose belastet, können wir für unsere zahlreichen Fälle nicht bestätigen. Wenn es gelingt, die alte Wurzelfüllung zu entfernen, dann gelingt uns auch die Ausheilung der periapikalen Läsion in gleicher Frequenz wie bei jeder anderen Gangrän.

Wie man an diesem Falle sieht, heilt die Ausheilung sogar dann aus, wenn die Revision nur unvollständig gelingt und es aufgrund des überaus dichten Verschlusses durch laterale Kondensation zu einer Instrumentenfraktur und einr via falsa kommt. Wir führen diesen Umstand auf die hohe Penetrationsfähigkeit von CHMK zurück und auf die damit verbundene Tatsache, dass es bereits wenige Stunden nach Einlage in den Wurzelkanal auf der Wurzeloberfläche und damit in der Aufhellung nachzuweisen ist.

Aufgrund der nicht unerheblichen technischen Schwierigkeiten, eine Wurzelfüllung mit lateraler Kondensation vollständig und in einem vertretbaren Zeitrahmen zu revidieren, sollte denjenigen, die diese Methode der Wurzelfüllung praktizieren, zur Vermeidung späterer Komplikationen in unseren Augen angeraten werden, die Wurzelfüllung erst dann vorzunehmen, wenn Sicherheit darüber hergestellt ist, dass der entzündliche, periapikale Prozess auch wirklich vollständig ausgeheilt ist.

Dieser Nachweis gelingt sehr einfach dadurch, dass man CHKM für eine Woche einlegt und den Zahn provisorisch verschließt. Bleibt er unter dieser Therapie beschwerdefrei (keine Klopfempfindlichkeit) und verträgt er die anschließende provisorische Wurzelfüllung mit CaOH2 für 4 Wochen unter dichtem Verschluss mit Zement ebenso, kann mit sehr deutlich erhöhter Wahrscheinlichkeit von der geforderten vollständigen Ausheilung und dem langfristigen Erfolg ausgegangen werden.

Galerie: