….nach nicht erfolgreicher endodontischer Ausheilung des bakteriellen Infektes vor dem definitiven Verschluss:.
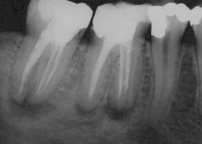
Verlaufskontrolle im Oktober 98. Ausbildung von apikalen Aufhellungen an allen Wurzelspitzen nach im Großen und Ganzen weitgehend beschwerdefreiem Verlauf trotz sehr ordentlicher Aufbereitung und WF (Klick!)
Verlaufskontrolle im November 2002 ohne röntgenologisch knochendichte Ausheilung der Resektionshöhlen (Klick!)
Das es auf sehr einfache Weise auch anders, bzw. in vielen Fällen sogar umgekehrt geht, zeigt der nächste Fall.