Es handelt sich um einen Patienten mit stark eingeschränkter Mundöffnung, bei dem im Juni 2001 eine Implantation mit internem Sinuslift mit einem Gemisch aus autologem Knochen und Cerasorb bei initial bereits grenzwertiger Knochendicke von weniger als 6 Millimetern in regio 16/17 durchgeführt wurde.
Der Eingriff war bei primär stabilem Implantat (ITI, SLA, Länge 10mm, Durchmesser 4.8 mm) bereits wie geplant mit der Wundnaht zur transgingivalen Einheilung beendet, als der Patient beim Eindrehen der Abdeckschraube unerwartet und ziemlich kräftig auf den Schraubenzieher biss, wodurch das Implantat ca. 3 mm in Richtung Kieferhöhle verdrängt wurde und sich dabei auch leicht in seiner Achse verschob.
Da das Implantat beim vorsichtigen Sondieren einen nicht mehr vollständig primär stabilen Eindruck machte, entschlossen wir uns aus der Sorge heraus, es bei einem Entfernungsversuch möglicherweise vollständig in die Kieferhöhle zu luxieren, jegliche Manipulationen zu unterlassen und verschlossen die Wunde über der Abdeckschraube primär, um eine geschlossene Einheilung zu erreichen.
Der postoperative Verlauf gestaltete sich unter der Medikation mit Doxycyclin völlig komplikationslos, so dass die Fäden am 10. postoperativen Tag bei primärer Wundheilung entfernt werden konnten. Die Kontrollaufnahme nach 6 Monaten, in denen der Patient beschwerdefrei blieb, zeigte die Resorption des Cerasorb und einen vollständigen knöchernen Verschluss des ehemaligen Implantatstollens koronal der Abdeckschraube . Nichtsdestotrotz entschlossen wir uns, weitere 6 Monate bis zur Freilegung zu warten, um eine möglichst stabile Einheilung sicher zu stellen.
Die Reentry-Operation erfolgte Anfang Juli 2002, also 13 Monate nach Implantation. Das Freilegen erfolgte mit scharfem Löffel, Kugelfräse und Lindemannfräse und war wegen des tiefen Sitzes des Implantats bei vollständiger knöcherner Überbauung und kleiner Mundöffnung recht mühsam. Die Exzision der Schleimhaut erfolgte mit dem Elektrotom. Beim Eindrehen des Gingiva-Formers (Ästhetik-Plus, Höhe ca. 5 mm) zeigte sich das Implantat stabil eingeheilt. Mit Fingerkraft war es im Sinne eines spinning implants nicht zu rotieren und der Patient zeigte keinerlei Schmerzreaktion.
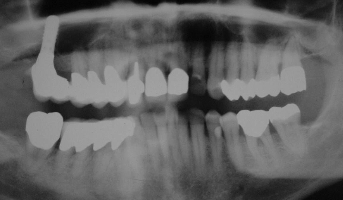
Kontroll-OPT vor Reentry-Op im Juli 2002. Der ehemalige Stollen koronal des Implantates ist vollständig knöchern verschlossen (Klick!)
Das Cerasorb ist vollständig resorbiert und durch eine röntgenologisch knochendichte Struktur ersetzt (Klick!)
Manipulierimplantat in der Tiefe des Modells nach Präparation der überkronungsbedürfigen Zähne 13, 14 und 15, Abformung mit Hilfe des Synocta-Systems mit Permadyne und Fixierung der Übertragungshilfe an den gelochten individuellen Löffel mit Palavit-G (Klick!).
im Mund von bukal, die Verletzungen der Gingiva stammen von der Manipulation mit der Sonde um sicher zu stellen, dass bei der Einprobe keine Gingiva eingeklemmt wurde (Klick!)
Fertige Kronen auf dem Modell. Die Kauflächen sind wegen der schlechten Gewohnheiten zur Vermeidung von Gleithindernissen mit Absicht extrem abrasiv gestaltet (Klick!).
Das Synocta-Primärteil und der Individuelle Pfosten wurden mit der Ratsche mit 34 Newton mit dem Implantat verschraubt, ohne dass es bei dem Patienten eine Schmerzreaktion kam, was für eine für die geschilderten Umstände überraschend gute Ankylose spricht.
Galerie: