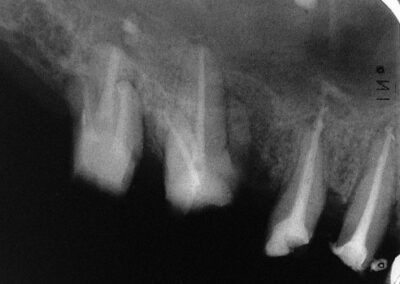
Über die Segnungen der sekundären Verlötung von Einzelkronen bei Bruxern und/oder im Grenzbereich der Zahnerhaltung in Hinsicht auf Funktion und Ästhetik haben wir ja schon früher ausführlich berichtet. Hier ein weiterer Fall aus dem Seitenzahnbereich: