Im Laufe weniger Jahre entstehende freiliegende Kronenränder sind unschön und ausgesprochen ärgerlich, insbesondere bei eigenen Arbeiten im Frontzahnbereich. Zum Glück kann man sie in vielen Fällen vermeiden. Freiliegende Kronenränder entstehen durch folgenden Mechanismus:
Das entzündungsfreie Zahnfleisch liegt der vestibulären Knochenlamelle unter physiologischen Bedingungen straff auf. Wenn also das Zahnfleisch „zurückgeht“, bedeutet das unter der Prämisse ausreichend passender Kronen, die keine Zahnfleischentzündung mit der Folge von entzündungsbedingter Knochenabschmelzung auslösen, dass auch Knochen entzündungsfrei verlustig gegangen ist, also eine echte Parodontose vorliegt. Zu entzündungsfreiem Knochenverlust kommt es aufgrund des ganz normalen Schwundes im Rahmen der fortschreitenden Jugend. Dieser Verlust verläuft unter physiologischen Bedingungen jedoch ausgesprochen langsam. Durch Überlastung in Zusammenhang mit der Ausübung von sogenannten „schlechten Gewohnheiten“ oder bei iatrogenem Trauma durch Prothetik in Malokklusion wird dieser Prozess ganz erheblich beschleunigt. Wenn die traumatische Überlastung ausgeprägt ist und/oder über lange Zeiträume anhält, kommt es darüber hinaus zu ausbrechenden Zahnhälsen aufgrund von Biegespannungen am Übergang von der Krone zur Zahnwurzel, gegen die auch Kronen keinen Schutz darstellen
Im abgebildeten Fall handelt es sich keineswegs um überstehende Kronenränder, wie der gemeine Gutachter spontan ausrufen würde, sondern sehr gut erkennbar um ausgeprägte keilförmige Defekte oberhalb und unterhalb der Ränder der nur 5 Jahre alten Einzelkronen bei ausgeprägtem Bruxismus. Das Leben in der modernen Industriegesellschaft wird unter den sich kontinuierlich verschlechternden Bedingungen zunehmend härter, was zur Folge hat, dass immer mehr unserer Patienten die Zähne kräftig zusammenbeißen müssen, um sich durchzubeißen. Bei aufgeklärten Patienten in einer Großstadt mit guter zahnärztlicher Versorgung gehen heute nach unserer Überzeugung mehr Zähne durch schlechte Gewohnheiten verloren als durch Karies und bakteriell bedingte Parodontitits. Schlechte Gewohnheiten stellen darüber hinaus nach unserer Erfahrung den weltweit am meisten unterschätzten und übersehenen Kofaktor bei der Entstehung und Aufrechterhaltung der Parodontitis dar, der wesentlich bedeutender ist als z.B. das Rauchen.
Das obige Bild führt auch sehr schön das sich penetrant haltende und sogar in den Stellungnahmen der DGZMK verbreitete Gerücht ad absurdum, dass keilförmige Defekte die Folge von falschem Zähneputzen sind. Da zu freiliegenden Zahnhälsen wie oben ausgeführt Knochenverlust gehört, ist es ja an sich schon wenig glaubwürdig, dass sich die Mehrzahl unserer Patienten zunächst einmal das Zahnfleisch und dann den Knochen wegputzt, um dann endlich den Zahn -und das dann auch noch keilförmig- beschädigen zu können. Spätestens Zahnkronen wie im abgebildeten Fall stellen jedoch auch für den masochistischen Schrubber ein unüberwindbares Hindernis da.
Im folgenden Fall handelt es sich um eine nur 7 Jahre alte Frontzahnbrücke zum Ersatz eines 21 bei einem mäßigen Bruxer.
Dieser Fall zeigt einen Patienten mit deutlich ausgeprägterem Bruxismus, den wir vor zwei Jahren mit sekundär verlöteten Einzelkronen mit vestibulären Keramikstufen versorgt haben. Über die ästhetischen Vorteile, Einzelkronen sekundär zu verlöten, wenn man ihre Verblockung anstrebt, haben wir schon anhand von zahlreichen anderen Fällen berichtet. Es ist einfach ein totaler Unterschied, den man auch anschließend sieht, ob der Techniker die Zähne bei der Verblendung einzeln in die Hand nehmen kann oder ob er ein 6-gliedriges Metallgerüst in der Hand hat. In diesem Falle geht es uns aber um den Erhalt dieses ausgesprochen gesunden, die Kronenränder reizlos verdeckenden marginalen Parodonts. Durch die Verblockung, insbesondere unter Einbeziehung der besonders stabilen Eckzähne mit ihren langen Wurzeln, wird die Bewegung herausgenommen und das ständige Genackel weitgehend verunmöglicht. Der Patient kann nicht länger durch Schieben über die Front Pressdruck auf die dünne, vestibuläre Knochenlamelle ausüben, die in der Folge nicht resorbiert wird, was wiederum zur Folge hat, dass sich das Zahnfleisch dem Knochen folgend nicht zurückziehen muss und die Kronenränder bedeckt bleiben. Insbesondere Frauen sind wegen des Erhalts der Schönheit einer Frontzahnversorgung in der Regel gerne bereit, nachts zusätzlich eine adjustierte Schiene zu tragen.
Wir sehen eigentlich keinerlei Grund, warum diese Versorgung in 10 Jahren nicht genau so aussehen sollte wie nach 2 Jahren.
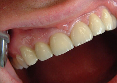
Das obige Bild zeigt einen Zustand 10 Jahre nach Versorgung mit sekundär verlöteten Metallkeramikkronen ohne Keramikstufen.
Frage:
Mich würde ja interessieren, warum im zweiten Fall die 3er überkront wurden.
Um das Angenehme mit dem Nützlichen zu versöhnen, Herr Kollege, also die Ästhetik mit der Funktion. Wie man im Röntgenbild sieht, handelt es sich ja in diesem Fall um einen abrasiven Typ mit widerstandsfähigem Parodontium bei nicht so harten Zähnen, mit der Folge fehlender Lockerungsgrade und/oder Knochenabbau und/oder Auffächerung der Front, dafür aber starken Abrasionen.
Was passiert, wenn man bei diesen Patienten Einzelkronen einbaut, die nicht so leicht zu abradieren sind, kann man schlecht voraussagen. Gute Bruxer schieben – wie im ersten Fall zu sehen- einen ganzen Kronenblock von 12 auf 22 problemlos aus der Zahnreihe. Wenn man die Dreier mit einbezieht, fällt das schon schwerer, auch wenn es nicht unmöglich gemacht ist. Deutlich sicherer vermieden wird das erst, wenn man die 4er (und noch besser auch noch die 5er, wenn sie eh „W“ sind) mit einbezieht, weil dann rein -statisch gesehen- ganz andere Widerstände gegen die mögliche Protrusion gegeben sind, weil kippen allein nicht mehr genügt. Das würden wir beispielsweise bei einem talentierten Bruxer mit harter Zahnsubstanz bei weniger widerstandfähigem Parodontium mit der Folge von fortgeschrittenem Lockerungsgrad, Auffächerung und Knochenabbau machen. Solche Patienten sieht man ja häufig.
Im Extremfall würden wir dann auch noch nach sorgfältiger Desinfektion wurzelfüllen, weil in unseren Augen bei Knochenabbau von mehr als der Hälfte mit sehr hoher Wahrscheinlichkeit auch gleichzeitig eine endodontische Problematik vorliegt, auch wenn diese klinisch stumm verläuft, bzw. das Risiko der Entstehung einer solchen Problematik in Form einer Gangränentwicklung wegen der massiven Reduzierung der Keimbarriere bei gleichzeitiger Aufweitung der Parodontalspalten unvorhersagbar und unakzeptabel erhöht ist.
Schauen Sie einmal unter Fallbeispiel: 48. Manchmal ist es zum Glück auch von Vorteil
Darüber hinaus ist ja auch verständlich, dass die Patienten – wenn sie sich schon zu einer solchen Therapie entschließen- dann auch eine wirklich harmonische Front haben wollen. Wenn man die ziemlich abradierten Eckzähne nicht überkronen würde, müsste man in der Folge die Frontzähne danach ausrichten. Und dann kann man es vom ästhetischen Standpunkt aus wahrscheinlich besser ganz lassen.
Natürlich wurde bei dieser Gelegenheit auch eine neue Gruppenführung eingestellt, an der der Eckzahn jetzt wieder beteiligt ist.
Galerie:
