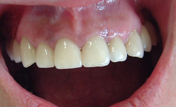
Vor gar nicht so langer Zeit hatten wir einen Fall einer 5 Jahre alten Frontzahnversorgung bei Bruxismus gezeigt, den wir mit sekundär verlöteten Einzelkronen versorgt haben (siehe auch unter sekundaer II) Auf die Vorteile der parodontal einwandfreien Verblockung insbesondere durch die Technik der sekundären Verlötung von Einzelkronen zur Vermeidung von Folgeschäden haben wir schon vielfach hingewiesen. Sie brauchen da nur ein wenig unter Verwendung der „Stichwortsuche“ auf der Startseite rumsuchen. Dass aufgrund dieser Behandlungstechnik die ursprüngliche Ästhetik der eingegliederten Arbeit auch nach fast 10 Jahren erhalten ist, zeigt der folgende Fall. Es ist eigentlich kein Grund ersichtlich, warum das nicht auch über die nächsten 5 Jahre so bleiben sollte. Dass die Patientin nachts eine Aufbisschiene trägt, um die Gelenke zu schonen und Keramikabplatzungen vorzubeugen, versteht sich von selbst.

Insbesondere von Technikerseite, aber auch von den mehr ganzheitlich-esoterisch orientierten Kollegen wird man gelegentlich auf die Problematik der Ofenlötung angesprochen. Es ist eben wie mit jeder Technik. Man muss sie beherrschen. Die Ofenlötung ist durch die früher verwendeten mit Schwermetallen, insbesondere mit Cadmium belasteten Lote in Verruf geraten. Auch kam es vor, dass sich die Keramik bei der Lötung gelegentlich grünlich verfärbte, was bei den Technikern dazu führte, dass es während des Lotvorgangs mit schöner Regelmäßigkeit zu erheblichem Blutdruckanstieg und zu starkem Schwitzen kam. Moderne Lote sind schwermetallfrei, genauestens auf die verwendeten Käppchen- und Gerüst-Metalle abgestimmt und Verfärbungen der Keramik sind bei einwandfreier Technik sicher voraussagbar ausgeschlossen.