Nicht häufig gelingt es, einen Fistelverlauf sozusagen von der Quelle bis zur Mündung darzustellen wie in diesem kombinierten Endo-Par-Fall:
In gleicher Sitzung erfolgte die großzügige Aufbereitung der drei auffindbaren Kanäle mit Überinstrumentierung, die chemische Desinfektion nach der Timbuktumethode (siehe Kapitel „Rationelle Endodontie“) in mehreren Sitzungen und die geschlossene Kurrettage. Nach klinischer Abheilung der Fistel Probe-WF mit Calxyl (drei Mal im ca. Abstand von 4 Wochen).
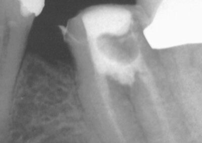
July 2001- Zustand nach prov. WF mit Calxyl. Der Entzündungsprozess ist deutlich rückläufig. Die Fistel ist klinisch geschlossen. Man sieht deutlich, dass der Zahn in der Mitte perforiert ist (Klick!).
Solche Zähne können über viele Jahre funktionstüchtig in situ bleiben, insbesondere dann, wenn die beiden Einzelkronen am Kontaktpunkt verblockt werden, die Aufbauten solide sind, der Interdentalraum für ein Interdentalbürstchen zugänglich gestaltet ist (und dieses auch benutzt wird), die Kontaktpunkte zu den Nachbarzähnen stramm sind und die Okklusion funktions- und indikationsgerecht gestaltet wird, d.h., wenn auf dem Laborzettel steht: viel Metall, solide Verblockung, extrem abrasiv, gerade kein okklusaler Kontakt, sehr schwacher Pfeiler. Immerhin haben jetzt die beiden Einzelzähne L=0/0, während der Gesamtzahn vorher L=1-2/1 hatte.
Wir geben natürlich gerne zu, dass da sportlicher Ehrgeiz dahinter steckt im Sinne der Auslotung der Grenzen der Zahnerhaltung und der Ausheilung kombiniert endodontisch-parodontologischer Fälle.
Solche Zähne kommen einem aber auch im parodontal massiv geschädigtem Restgebiss unter, wo die Alternative nicht die einer Brücke, sondern einer für viele nicht finanzierbaren Implantatversorgung ist (siehe dazu auch: Modifizierte teleskopierende Versorgung). In einer solchen Situation muss man mit den nur noch wenigen Pfeilern sparsam umgehen. In diesem Sinne eine schöne Übung. Darüber hinaus stellt eine Brücke für manchen im Moment der Behandlung eine nicht unerhebliche finanzielle Belastung dar. Wir machen so etwas selbstverständlich auch nur, wenn die anderen Dinge stimmen, d.h., wenn das Interesse am Erhalt der eigenen Zähne durch vorbildliche Mundhygiene dokumentiert ist.
Galerie: