(gleichzeitig Follow up, siehe Timbu 6)

Wenn man bei der Beobachtung von Verläufen, um unnötige Strahlen zu vermeiden, gezwungen ist, OPT-Befunde mit denen in Zahnfilmen zu vergleichen, muss man aufpassen, Fehleinschätzungen zu vermeiden.

Das OPT ist eine Schichtaufnahme (Tomographie) und zeigt deshalb immer nur einen einzigen Schnitt durch das geröntgte Gebiet, bildet also einen in horizontaler Richtung nur eng begrenzten Bereich ab.

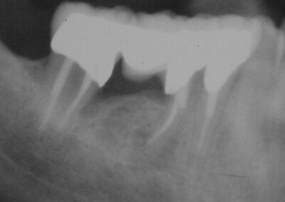
Aufgrund der linken Aufnahme könnte man fälschlicherweise vermuten, dass die mesiale Wurzel des hemisezierten 6ers erneut oder nach wie vor beherdet ist. Wie man jedoch auf dem rechten Zahnfilm eindeutig erkennt, handelt es sich lediglich um den (noch?) nicht vollständig remineralisierten engen Bereich der ehemaligen Aufhellung um die Wurzel, der in seiner knöchernen Struktur mit derjenigen der ehemaligen Extraktionswunde der distalen Wurzel vergleichbar ist.

Beachtenswert ist insbesondere der „wundersame Knochengewinn“ im Bereich der mesialen Wurzel von 47 und interdental 45/46 im Vergleich zum Ausgangsbefund. Sehr deutlich wird auch die Reduktion der Parodontalspalten in der Folge der Eliminierung der Entzündung und der schützenden Ruhigstellung durch die primäre Verblockung