…. des Kollegen Dr. Felix Kehr aus Dresden (www.zahnarzt-kehr.de)
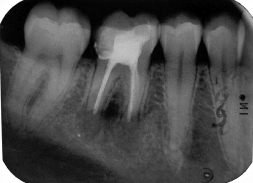
Fall 1:
Exazerbation in 2006 nach WK-Behandlung nach der aktuellen Lehrmeinung (NaOCl, Ca(OH)2) in 2005 (Klick!)
Messaufnahme anlässlich der Revision mit absichtlichem Überinstrumentieren in die Aufhellung im Dezember 2007 (Klick!)
Unmittelbar nach WF nach Desinfektion nach dem Timbuktu-Protokoll im Januar 2008 bei klinischer Beschwerdefreiheit (Klick!)
Fall 2:
Unmittelbar nach WF nach Desinfektion nach dem Timbuktu-Protokoll im März 2009 bei klinischer Beschwerdefreiheit (Klick!)
3. Fall:
Galerie: