An diesem Fall eines 65jährigen männlichen Patienten mit Tinnitus, der sich mit Schmerzen im Bereich des 3. Quadranten zur Erstuntersuchung vorstellte, zeigt sich, wie unverzichtbar das fachgebietsübergreifende Wissen des Allgemeinzahnarztes ist. Gleichzeitig wird deutlich, wie unverzichtbar eine routinemäßige, übersichtsmäßige funktionelle Untersuchung im Rahmen des 01-Befundes ist.
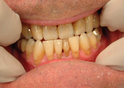
Bei der klinischen Untersuchung in habitueller Okklusion fällt die progene Stellung des Unterkiefers mit ausgeglichener Okklusion im Seitenzahnbereich auf den ersten Blick auf. Pathologische Kiefergelenksgeräusche sind nicht zu erheben.
Beachten Sie die als ausgeglichen imponierende habituelle Okklusion beiderseits im Seitenzahnbereich.
Deutlich beherdeter, devitaler 36 bei fehlendem 13 mit Lückenschluss.
Auffällig ist die umfangreiche, technisch sehr ordentliche, im Laufe der vielen Jahre durch verschiedene Behandler in Teilen mehrfach erneuerte prothetische Versorgung in allen 4 Quadranten. Die in der Folge von Knochenabbau „langen Zähne“ im Oberkiefer-Seitenzahnbereich bei Abwesenheit entzündlicher Taschen und guter Mundhygiene sind deutliches Zeichen funktioneller Überlastung. Die Versorgung des rechten Unterkieferquadranten weisen zumindest einen der Vorbehandler als Könner der Zahnerhaltung im Grenzbereich auf. Vor diesem Hintergrund ist es besonders überraschend, dass der inzwischen 65jährige Patient ganz offensichtlich nicht ein einziges Mal gründlich zahnärztlich untersucht worden ist. Aufgrund von lingualer Sekundärkaries an den wichtigen Pfeilerzähnen 46 und 47 war die Indikation zur Neuversorgung des 4. Quadranten vom letzten Vorbehandler bereits gestellt worden.
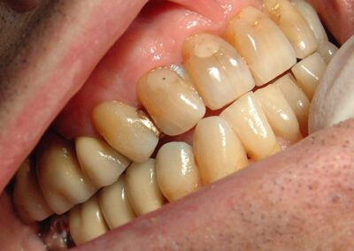
Da es keinen individuelleren Artikulator als das Kiefergelenk des betroffenen Patienten gibt, schleifen wir kleinere pathologische Befunde in der Regel gleich im Munde ein. In diesem Fall, in dem aufgrund der Schwere des Befundes nicht absehbar war, wie ausgeprägt und die Frontzahnästhetik verändernd die erforderlichen Maßnahmen sein würden, haben wir die Situation in einen halbindividuellen Artikulator übertragen. Es waren nur geringe subtraktive Maßnahmen im Frontzahnbereich erforderlich, um die Zwangsbisssituation aufzulösen. Auffälilg war, dass nachdem durch Entfernung einiger weniger konsekutiver Frühkontakte im linken Seitenzahnbereich befriedigende okklusale Verhältnisse hergestellt worden waren, eine ausgeprägte Nonokklusion im rechten Seitenzahnbereich persistierte.
Im linken Seitenzahnbereich mussten nur einige wenige konsekutive Frühkontakte entfernt werden, um funktionell befriedigende Okklusionsverhältnisse herzustellen.
Nach Einschleifen der progenen Zwangskontakte in der Front Nonokklusion im rechten Seitenzahnbereich
Nach Einschleifen der progenen Zwangskontakte in der Front und weniger konsekutiver Frühkontakte im linken Seitenzahnbereich funktionell befriedigende Okklusionsverhältnisse im linken Seitenzahnbereich
Das Einschleifen hat nicht nur die progene Zwangsführung beseitigt, sondern auch zu einer ästhetischen Harmonisierung der Front geführt.
Wenn wir richtig mitgezählt haben, ist das in 18 Jahren Praxistätigkeit bereits der 6. Fall eines als Progenie fehldiagnostizierten progenen Zwangsbisses, den wir gesehen haben. Das mach bezüglich der Erfüllung des Leistungsinhaltes der 01 doch schon ein wenig nachdenklich. Insbesondere, wenn diese Diagnose auch durch 2 Kieferorthopäden gestellt wurde, von denen der eine dringend zur operativen Korrektur geraten hat, wie im folgenden, besonders spektakulären Fall: http://www.tarzahn.de/Fallbeispiele/KFO.htm
