Unter dem Begriff CMD wird eine Vielzahl von Beschwerdebildern zusammengefasst. Das Problem ist, dass ihnen sowohl zahnärztlich als auch nicht zahnärztlich zu behandelnde Ursachen zu Grunde liegen können. Vom Zahnarzt wird weder erwartet noch verlangt, diejenigen Patienten erfolgreich zu behandeln, deren Beschwerden keine zahnmedizinische Ätiologie und Pathogenese aufweisen. Da sich die Grunderkrankung jedoch in der Regel als Schmerz im orofazialen Bereich manifestiert, wird er von diesen Patienten in der Regel als erster Arzt aufgesucht. In der Folge ist der Zahnarzt gefordert, auf der Basis differentialdiagnostischer Überlegungen und Untersuchungen die richtige Diagnose zu stellen, um entweder selbst erfolgreich zu behandeln oder die Patienten einer fachärztlichen Behandlung zuzuführen.
Anhand eines konkreten Falles wollen wir darstellen, wie wir versuchen, uns einer solchen Problematik anzunähern. Die mit „DD“ gekennzeichneten Textabschnitte geben unsere differentialdiagnostischen Überlegungen wieder, die mit „TH“ gekennzeichneten unsere therapeutischen Bemühungen, unter „VL“ schildern wir den Verlauf und unter „GE“ geben wir wesentliche Gesprächsteile wieder.
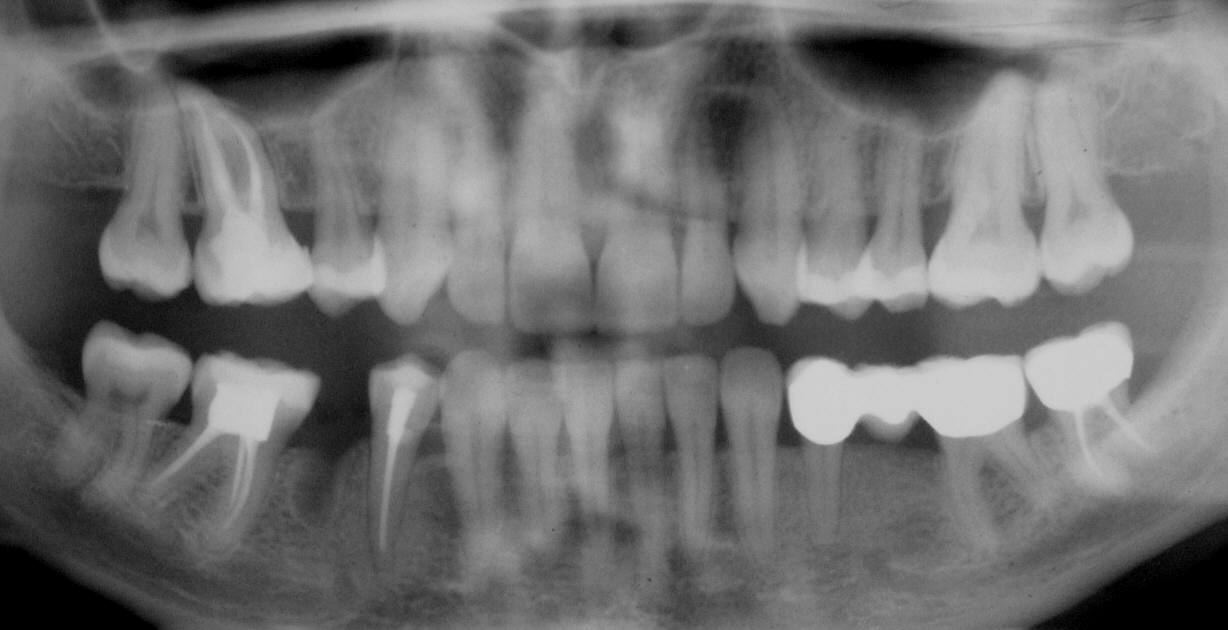
OPT anlässlich der Erstuntersuchung im November 2004: Zustand nach Ex 45, unauffälliger Wurzelbehandlung an 16, unvollständige WF mit diskreter Beherdung an 46, unauffällige WF an 44 mit deutlich verbreitertem PAR-Spalt (Klick!)
Anamnese:
Die gebildete Patientin von Anfang 30 suchte uns mit seit über einem Jahr anhaltender, starker Schmerzsymptomatik im rechten unteren Quadranten auf. Sie sei bereits von mehreren Kollegen sowohl endodontisch als auch funktionstherapeutisch untersucht und behandelt worden, habe auch schon einen Neurologen aufgesucht und werde momentan unter der Diagnose „Trigeminusneuralgie“ medikamentös behandelt. All das habe nichts gebracht. Zur Zeit sei ihr größtes Problem, dass sie wegen dieser Medikamente nicht zusätzlich ausreichend Schmerzmittel einnehmen könne, um vollständig schmerzfrei zu werden. Sie sei vom Zahnarzt Ihrer Mutter zu uns geschickt worden, der uns durch unseren Internetauftritt kenne und gesagt habe, dass wir uns in der Ausheilung nicht erfolgreicher Wurzelbehandlungen auskennen würden. Angefangen habe alles mit starken Schmerzen zwischen 45 und 46. Daraufhin sei von unterschiedlichen Behandlern zunächst der 45 und dann der 46 wurzelbehandelt worden, dann der 45 wurzelspitzenresiziert, dann 44 wurzelbehandelt, schließlich der 45 extrahiert und dann der 16 von einem Spezialisten wurzelbehandelt worden. Diesen habe sie gebeten, den Zahn 46 zu revidieren, was er jedoch wegen nach seiner Meinung geringer Aussicht auf Erfolg abgelehnt habe. Die Beschwerden seien morgens am Geringsten und verstärkten sich im Laufe des Tages. Wenn sie mit der Hilfe von Schmerzmitteln eingeschlafen sei, schlafe sie gut und wache auch nicht durch Schmerzen auf. Sie sei nahe daran zu verzweifeln, könne schon gar nicht mehr richtig arbeiten, habe bereits ein schlechtes Gewissen gegenüber ihren Kollegen, „verdiene“ in ihren Augen momentan auch nicht das Gehalt, das sie bekomme, wolle die zunehmend unerträglichen Schmerzen endlich egal wie loswerden, sei sich ganz sicher, dass die schlechte Wurzelfüllung an Zahn 46 der Grund ihrer Beschwerden sei und bitte uns, diesen zu revidieren oder, wenn das nicht möglich sei, zu extrahieren.
DD: Aufgrund des „Glücks des späten Behandlers“ bietet diese Anamnese ausreichend Grund zu bezweifeln, dass die diskrete Beherdung der mesialen Wurzel von 46 für die anhaltende Schmerzsymptomatik verantwortlich ist. Definitiv auszuschließen ist es jedoch nicht. Es kann eben immer auch einfach nur ein Zahn sein.
Eingehende Untersuchung:
Die ausgesprochen schlanke Patientin, die angibt, nie besonders füllig gewesen zu sein, aber innerhalb des letzten Jahres aufgrund ihrer Beschwerden einige Kilo abgenommen zu haben, macht einen körperlich reduzierten, verzweifelten Eindruck. Auf Fragen antwortet sie differenziert und zielgerichtet, ist aufgeschlossen und kooperativ, bricht aber bei der Schilderung ihrer Anamnese wiederholt in Tränen aus.
DD: Die wiederholte Betonung der verzweifelten Situation und der „erste Eindruck“, der diese Verzweiflung unterstreicht, sprechen auf der einen Seite für eine psychogene Genese. Auf der anderen Seite können über mehr als ein Jahr anhaltende, zeitweise als unerträglich empfundene Zahnschmerzen einen Menschen sehr wohl zermürben und an den Rand der Verzweiflung bringen.
Bei der zahnärztlichen Untersuchung sind die Zähne 17,14,13,47 und 43 auf Kältereiz positiv und nicht hypersensibel. 17, 14,13 und 43 sind nicht klopfempfindlich. 16 ist leicht, 44 und 47 sind deutlich klopfempfindlich. 46 ist extrem klopfempfindlich. Ein differentialdiagnostischer Klopftest ist eher nicht möglich, weil sich die Patientin dem sofort durch körperliches Ausweichen entzieht und beteuert, 46 sei so schmerzhaft, dass man ihn nicht einmal anfassen dürfe. Sie lässt das Anfassen schließlich zu, „entwindet“ sich aber bei dem leichtesten Druck.
Bei der klinischen Funktionsanalyse, bei der sich die Patientin sehr gut entspannen lässt, überrascht aufgrund der Vielzahl der Vorbehandler, dass sie in entspannter Zentrik rechts lediglich einen einzigen zentrischen Kontakt auf 47 hat, wobei sich die linke Seite in vollständiger Nonokklusion befindet. In habitueller Okklusion finden sich links ausgeglichene Kontakte im gesamten Seitenzahnbereich und rechts „normale“ Kontakte auf 47 und 44 , und „gerade kein“ Kontakt dem distalen Höcker von 16.
DD: Das spricht nun eher für eine funktionelle Genese der Schmerzproblematik. Denkbar ist, dass sich der in die Lücke des früh verlorenen 15 gekippte 16, der offensichtlich genau wie 46 wegen der Wurzelbehandlungen bei anhaltender Schmerzsymptomatik außer Kontakt geschliffen wurde, beim Kippen nach vorn distal verlängert und zusammen mit dem ihm nachfolgenden 17 zu Früh- und Fehlkontakten geführt hat, die von der Patientin durch eine Mesialisierung des Schlussbisses umgangen wurden. In dieser „falschen“ Situation wurde möglicherweise dann die Brücke im linken unteren Quadranten angefertigt. Gegen Bruxismus spricht der unauffällige Knochenabbau mesial und distal von 16. Hier würde man bei bestehender Malokklusion einen mehr oder weniger tiefen Knocheneinbruch erwarten. Das schließt aber nicht aus, dass die Beschwerden durch einen anhaltenden oder gesteigerten Muskeltonus hervorgerufen werden, der erforderlich ist, um problemlos, spontan und ohne irgendwo „hängen zu bleiben“ eine abgestützte, dann aber mesialisierte Okklusion auf beiden Seiten zu erreichen. Gegen den Tonuas spricht nun wieder, dass die Patientin sehr leicht und vollständig zu entspannen ist. Eine weitere Möglichkeit besteht darin, dass die prothetische Versorgung im 3. Quadranten in der Folge einer nicht korrekten Bissnahme „zu niedrig“ ausgeführt worden ist, und dass die Patientin, um eine gleichmäßige Abstützung auf beiden Seiten zu erreichen, dadurch gezwungen ist, „weiter vorne“ zu okkludieren. Insbesondere aufgrund der deutlich außer Kontakt geschliffenen Zähne 16 und 46 und des fehlenden 45 kann das in der bestehenden Situation im Nachhinein nicht mehr abgeklärt werden.
TH: Schrittweises Reduzieren des Frühkontaktes auf 47 in entspannter Zentrik. Es zeigt sich, dass nur eine sehr geringe Reduktion erforderlich ist, um sowohl auf 44 als auch auf 26 und 27 Kontakte herzustellen. Durch zweimalige leichte Reduzierung der Kontakte im distalen 2. Quadranten kann eine gleichmäßige Abstützung auf beiden Seiten im Seitenzahnbereich problemlos hergestellt werden, ohne dass es zu einem Frontzahnkontakt kommt. Die Patientin findet unmittelbar und ungeführt in die veränderte, jetzt zentrische Okklusion und gibt an, diese neue Situation als angenehm zu empfinden. Abdruck für eine Doppelschiene (innen weich, außen hart) für den Oberkiefer zur Entspannung, die Freiheiten in allen Richtungen zulässt, den Biss erhöht und anfallende unphysiologische Kräfte aufnimmt. Anweisung an die Patientin, in allen Lebenssituationen darauf zu achten, ob sie sich dabei erwischt, mit den Zähnen schlechte Gewohnheiten auszuüben. Einbestellung für den übernächsten Tag zum Einsetzen und Adjustieren.
VL: Am nächsten Tag erscheint die Patientin mittags äußerst angespannt, deprimiert, verzweifelt und den Tränen mehr als nahe gegen Mittag ohne Termin in der Praxis und gibt an, es einfach vor Schmerzen nicht mehr auszuhalten. Das Einschleifen habe überhaupt nichts verändert, die Schmerzen hätten gegen 10 Uhr morgens angefangen, seien seitdem kontinuierlich angewachsen, seien mit Schmerzmitteln nicht zu coupieren und sie könne den 46 nicht einmal mehr mit der Zunge berühren.
DD: Da es auch immer nur ein erkrankter Zahn sein kann und darüber hinaus ausgerechnet der Zahn, an dem sich das Maximum der Beschwerden manifestiert, einen wenn auch diskreten pathologischer Befund aufweist, wird man sich der Aufforderung der Patientin, diesen Zahn nunmehr zu behandeln, nicht länger verweigern können. Dies um so mehr, wenn man darüber hinaus über ein Endodontieprotokoll wie der Timbuktu-Methode verfügt und sich in der Folge ausgesprochen sicher sein kann, das Problem mit dem 46, wenn es denn existiert, auch lösen zu können.
TH: Leitungsanästhesie im 4. Quadranten
VL: Mit Eintreten der Anästhesie entspannt sich die Patientin zusehends und lächelt zum ersten Mal. Und nachdem die Lippe vollständig taub ist, gibt sie an, zum ersten Mal seit langer Zeit vollkommen schmerzfrei zu sein.
DD: Das spricht zwar nicht zwangsläufig dafür, dass der leicht beherdete 46, der von der Patientin von Anfang an für ihre Beschwerden verantwortlich gemacht wird, die Ursache ist, ist aber dermaßen überzeugend, dass es jetzt wohl keinen Grund mehr gibt, die Wurzelfüllung nicht unmittelbar zu revidieren. Man darf nie den Fehler machen zu glauben oder gar zu unterstellen, die Patienten würden sich einen psychogenen Schmerz quasi „einbilden“. Sie empfinden ihn tatsächlich genau an der Stelle, auf die er sich projiziert, und in der Folge wird er auch bei einer Leitungsanästhesie erst einmal verschwinden.
Messaufnahme (Klick!)
TH: Die Revision über das ursprüngliche Ende der Wurzelfüllung hinaus bis in den apikalen Bereich gelingt mühelos und ist schmerzfrei.
GE: Eine Revision, auch wenn sie keine wesentlichen technischen Probleme aufweist, dauert ja eine kleine Weile. Die Patientin hat dabei den Mund offen und voller Gerätschaften, ist gut gebahnt und kann vor allem nicht „ja aber“ sagen. Damit ergibt sich eine gute Gelegenheit, ganz unauffällig und nebenbei grundsätzliche Dinge zu klären und zu erklären. Ungefähr so: „Dass sie unter der Anästhesie jetzt völlig beschwerdefrei sind, gibt schon zu der Hoffnung Anlass, dass dieser Zahn wirklich die Ursache ihrer Beschwerden ist. Es besteht ja auch keinerlei Zweifel daran, dass Sie ausgesprochen starke Schmerzen genau an diesem Zahn haben. Ob jetzt aber wirklich dieser Zahn die eigentliche Ursache für die Schmerzen ist, werden wir jetzt erst sehen. Es ist damit noch nicht abschließend geklärt. Sie wissen ja sicher, dass auch die Seele weh tun kann. Nun hat aber die Seele, wenn sie denn weh tut, häufig gar keine andere Möglichkeit als durch körperliche Krankheit oder eben auch Schmerz auf sich aufmerksam zu machen. Man muss das dann wie einen Hilferuf verstehen. Die Möglichkeit, dass sich seelische Schmerzen aus welchem Grunde auch immer genau in einen Zahn projizieren, besteht. Das ist gar nicht so selten. Falls also die Schmerzen nach dieser Behandlung wiederkommen, wenn die Anästhesie nachlässt, oder zumindest nicht in eine andere Qualität von Schmerz im Sinne eines Wundschmerzes übergegangen sind, dann müssen wir woanders suchen. Es würde dann überhaupt keinen Sinn machen, diesen Zahn zu ziehen, weil die Wahrscheinlichkeit sehr hoch wäre, dass Sie dann noch einen Zahn weniger haben, ohne ihre Beschwerden los zu sein. Ich kenne Patienten, die eine ganze Reihe von Zähnen verloren haben, ohne dass das etwas an ihren Beschwerden geändert hätte. „
TH: Revision, Ledermix, Watte, bedingt offen. Ledermix zur Schmerzstillung und zum Abschwellen Außer Kontakt ist der Zahn ja bereits von den Vorbehandlern geschliffen worden. In dieser Situation wäre es völlig unangebracht, den Zahn zu verschließen. Denn wenn er die Ursache der Beschwerden ist, dann handelt es sich um eine Druckproblematik. Mit dem Verschluss könnte man sich bei Persistenz der Beschwerden ja in keinem Falle sicher sein, ob diese nicht vielleicht fortbesteht.
GE: Nach Abschluss der Behandlung kommt man zwangsläufig noch einmal auf den eigenen Monolog zurück. Die Petientin zeigt sich im Gespräch einsichtig und sagt, dass es in ihren Augen auch keinen Sinn mache, einen Zahn nach dem anderen zu behandeln. Sie sei sich aber ganz sicher, dass es der Zahn sei, weil die Beschwerden genau dort angefangen hätten. Sie habe damals nicht genau sagen können, ob es denn nun der 45 oder der 46 gewesen sei, die Schmerzen seien immer genau zwischen diesen beiden Zähnen aufgetreten.
VL: Am nächsten Tag erschient sie über das ganze Gesicht strahlend und pünktlich zum verabredeten Termin zur Med. Ein völlig neuer Mensch. Sie berichtet, seit langem erstmalig weitgehend beschwerdefrei zu sein. Sie spüre zwar noch einen leichten Druck in der Gegend des 46, das sei aber eine ganz andere Qualität und unvergleichbar wenig.
TH: Spülen mit 3% H2O2, nochmals Ledermix, Watte, bedingt offen. Verabredung zu Med mit provisorischem Verschluss für den übernächsten Tag
DD: Jetzt sind auch wir sehr nahe daran, an eine organische Problematik zu glauben.
VL: Am nächsten Tag erscheint die Patientin erneut mittags äußerst angespannt, deprimiert, verzweifelt und den Tränen mehr als nahe gegen Mittag ohne Termin in der Praxis und gibt an, es einfach vor Schmerzen nicht mehr auszuhalten. Überraschenderweise ist es jetzt nicht mehr der 46, sondern der 16, den sie jetzt vor Schmerzen nicht einmal mehr berühren kann. Den 46 spüre sie zwar auch noch, aber das sei kein Vergleich zum 16. Auf die Frage, ob sie die Schiene trage, antwortet sie, dass das nicht möglich sei, weil diese einen unerträglichen Druck auf den 16 ausübe.
DD: Jetzt sind wir uns ziemlich sicher, dass es sich um eine psychogene Problematik handelt. Es ist geradezu typisch für eine solche Genese, dass einer invasiven Therapiemaßnahme an einem Zahn ein symptomfreies Intervall folgt und sich der Schmerz dann an einem Nachbarzahn manifestiert.
GE: Auf Befragen gibt die Patientin an, dass es tatsächlich immer so gewesen sei. Nach einer nach ihrer Meinung entscheidenden Maßnahme an dem von ihr als Ursache lokalisiertem Zahn, sei sie für kurze Zeit weitgehend beschwerdefrei geworden. Dann sei es an andere Stelle wieder losgegangen. Auf die Frage, in welcher Lebenssituation sie denn gewesen sei, als das alles angefangen habe, gibt sie an, das sei kurz nach ihrer Hochzeit gewesen. Sie hätte gleichzeitig zusammen mit ihrem Mann ein renovierungsbedürftiges Haus gekauft, in der Folge auf die Hochzeitsreise verzichtet, und neben ihrer anstrengenden Arbeit noch jeden Abend an dem Haus gearbeitet. Zu allem Überfluss hätte sie dann noch ein halbes Jahr beruflich ins Ausland gemusst, was sie auch sehr belastet habe.
DD: Jetzt besteht für uns kein Zweifel mehr daran, dass es sich um einen depressiven Verstimmungszustand in der Folge einer Überforderungssituation bei einer leistungsorientierten Patientin handelt.
GE: Da die Patientin glücklicherweise intelligent und aufgeschlossen ist, ist es jetzt nicht mehr besonders schwierig, ihr den Gedanken nahe zu bringen, dass ihre Beschwerden möglicherweise keine somatische Genese haben, bzw. das man dies zumindest nicht ausschließen könne, und dass es nunmehr sehr sinnvoll sei, doch einmal in dieser Richtung zu suchen. Sie erklärt, dass es ihr völlig egal sei, wie sie diese Schmerzen loswerde, Hauptsache, sie würde sie endlich los und dass sie zu allem bereit sei.
TH: Ledermix, Watte, Cavit bei 46, Überweisung zum Facharzt.
VL: Unter Gabe von Seroxat in langsam ansteigender Dosierung geht es der Patientin innerhalb weniger Tage deutlich besser, und sie wird nach Erreichen der Erhaltungsdosis vollständig beschwerdefrei. Seroxat ist ein selektiver Serotonin-Aufnahmehemmer, wirkt antidepressiv und bei Angststörungen und eignet sich besonders für Patienten, die keine Schlafstörungen haben, weil es nicht müde macht. Unterstützend wurde noch Epamax in hoher Dosierung verordnet, ein Omega-3-Fettsäure-Präparat mit einem sehr hohen Anteil an EPA-Fettsäuren, die auch antidepressiv wirken.

