Endodontische Spezialisten erklären ja häufig, dass ihre Erfolgsstatistik durch die hohe Zahl an Revisionen belastet ist, die sie aufgrund von Überweisungen vornehmen müssen. Wir können diese Einlassung für unsere Methode der sorgfältigen Desinfektion nicht bestätigen. Ganz im Gegenteil.

Da der Erfolg einer endodontischen Methode allein an der Ausheilung beherdeter Zähne gemessen werden kann, bieten uns Revisionen, die ja in der erdrückenden Mehrzahl gerade aus diesem Grunde indiziert sind, vielmehr die Gelegenheit, den voraussagbaren Erfolg unseres Verfahrens darzustellen, und wir sehen keinen bedeutsamen Unterschied.

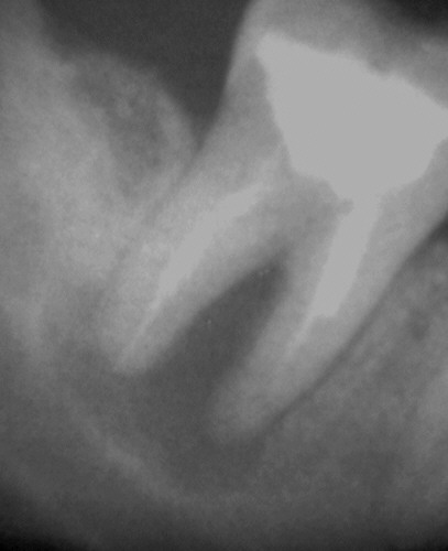
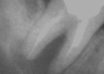
Interessant an dem folgenden Fall ist wiederum, dass die mesialen Kanäle bei der Revision nicht durchgängig waren. Nichtsdestotrotz ist der periapikale Prozess auch an dieser Wurzelspitze röntgenologisch und klinisch vollständig ausgeheilt. CHKM ist ganz offensichtlich ungemein kriechfähig.