….und man ist ja auch nicht jeden Tag gleich gut drauf und in der Folge gleich leistungsfähig. Keine Ahnung, was dieser bulgarische Patient in seinen Wurzelkanälen hatte. Russisch-Rot war es nicht. Die Revision war in jedem Fall ausgesprochen mühsam.
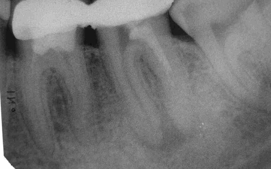
Das war es dann aber noch lange nicht. Es lief weiter nach dem Motto: „Erst hatten wir kein Glück, und dann kam auch noch Pech dazu“. Wenn einmal der Wurm drin ist….. Letztlich kam es zur Hemisektion von 36.
Shit happens, und der, der frei von Misserfolgen ist, werfe den ersten Stein. Wichtig ist, dass man solche Komplikationen in den Griff bekommt, und trotzdem noch eine anständige Arbeit eingliedert.
Ein knappes Jahr nach prothetischer Versorgung. Die Kronenränder sind übrigens nicht sondierbar überstehend. Der Erfahrene weiß, dass man die Diagnose „Überstehende Kronenränder“ aus dem Röntgenbild heraus nicht sicher stellen kann (Klick!)
Zum Glück hat die biologische Breite wieder das gemacht, was sie immer macht, wenn man – indikationsgerecht- Kronen mit rasierklingenscharf auslaufenden Kronenrändern eingliedert: Sie hat sich neu eingestellt!
