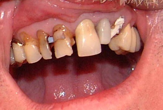
Ausgangs OPT, Februar 2001. Ausgesprochen schwache Pfeiler: WF 21, WF 22 mit frakturiertem WK-Instrument seit 10 Jahren reizlos in situ. 23 auf Gingiva-Niveau frakturiert. Brücke links unten aus 1958, funktionstüchtig!! Brücke rechts unten aus 1964, funktionstüchtig!! (Klick!).
Auf den ersten Blick wird deutlich, dass dieser Patient seine Zähne nicht gerade schont: Stark ausbrechende Zahnhälse, frakturierte Zähne und Füllungen, usw. Die Mundhygiene ist hingegen ausgezeichnet (Klick!),
Zustand nach Präparation, Stiftaufbau 23 (Radix-Anker mit Kunststoffaufbau in SÄT nach WF), WF 12, chirurgische Kronenverlängerung 22.
Abdruck mit Permadyne. Permadyne hat den großen Vorteil, hydrophil zu sein. Das erspart selbstverständlich nicht die gute Blutstillungs- und Fadentechnik. Beachten Sie die exzellente Abformung von 22 bei Zustand nach chirurgischer Kronenverlängerung palatinal in gleicher Sitzung (Klick!).
Meistermodell (Klick!) ohne Anweisung durch den Techniker zum Radieren!. Eine parallele Präparation unter Vermeidung von „Tipi-Zelten“ ist bei der primären Verblockung unabdingbar.“
Vom ästhetischen Standpunkt her ist es immer ein Vorteil, Einzelkronen anzufertigen und sie erst sekundär zu verlöten (Klick!)
Einzelkronen im Rohbrand im Mund, unmittelbar vor der Verblockung. Die Zahnfleischränder sind weißlich komprimiert. Das ist ein Zeichen dafür, dass das Zahnfleisch den neuen Kronen straff und entzündungsfrei anliegt (Klick!).
Die Einzelkronen sind im Mund mit Palavit-G verblockt. So ist sicher gestellt, dass die korrekte Position übertragen wird (Klick!). Die weissliche Verfärbung des Zahnfleisches ist bereits deutlich rückläufig!
Die Kronen im Abdruck. Die Abdrucknahme erfolgt mit Impregum. Die Einzelkronen müssen sorgfältig umspritzt werden, damit das Imprgum unterhalb der Kontaktpunkte zusammen fließen kann. Zusammen mit der Fixierung im Mund mit Palavit G ist so gewährleistet, dass die Situation korrekt übertragen wird (Klick!). Beachten sie die „lange“ Krone an 22 bei Zustand nach chirurgischer Kronenverlängerung!
Fertige Arbeit unmittelbar nach dem Zementieren. Das Zahnfleisch ist noch ein wenig gepresst, wird aber sehr schnell abheilen (die Verfärbung an 22 und 21 rührt vom Fäden-Legen vor der Zementierung, um eingeklemmtes Zahnfleisch zu verhindern)! Bei guter Mundhygiene ist die primäre Verblockung kein Problem. Da man eine solche Arbeit auf einen Zeitraum von 20 Jahren sehen muss (mögliche Unfälle, möglicherweise erforderliche WSR`s und zusätzliche Wurzelbehandlungen, Bruxismus, usw.) ist eine primäre Verblockung bei schwacher Pfeilersituation nicht nur problemlos möglich, sondern geradezu notwendig und indikationsgerecht!
Grundsätzliche Anmerkung:
Die momentan gültige Lehre von der Verblockung ist eine Irrlehre. Es handelt sich dabei um ein Dogma. Alle Dogmen sind falsch! Früher galt: Alles muss verblockt werden. Heute gilt: Nichts darf verblockt werden. Beide Lehren beschreiben Dogmen und sind somit Irrlehren, weil Mosaike nicht berücksichtigt werden!
Richtig ist vielmehr:
„Das, was aus statischen Gründen primär verblockt werden muss, muss auch primär verblockt werden. Das, was aus statischen Gründen nicht primär verblockt werden braucht, darf nicht primär verblockt werden. Das eine vom anderen richtig zu unterscheiden ist zahnärztliche Kunst. Bei der Einschätzung der Situation ist im Sinne eines langen Verbleibens der Restauration im Mund sowohl die Vergangenheit, die Gegenwart und die Zukunft zu berücksichtigen.“
Im Sinne einer kleinen Hilfestellung zur richtigen Entscheidungsfindung können wir sagen, dass wir uns aus unserer Erfahrung heraus an viele Fälle erinnern können, bei denen wir uns später geärgert haben, bei der Anfertigung der ersten Restauration nicht primär verblockt zu haben. Wir können uns eigentlich an keinen Fall erinnern, bei dem wir uns in der Folge geärgert hätten, primär verblockt zu haben. Daraus kann man allerdings keineswegs ableiten, dass wir alles primär verblocken. Dies ist nämlich nicht der Fall.