Zum Vergrößern der Bilder auf das jeweilige Photo doppelklicken. Zurück mit der Zurücktaste des Browsers.
Juli 1999:
Auch auf den ersten Blick zunächst hoffnungslos erscheinende, als Extraktionsfälle imponierende entzündliche Prozesse an Zahnwurzeln, können unter Umständen mit einer sorgfältigen Behandlungs-Technik und viel Geduld ausgeheilt werden, unter Erhalt eines für die prothetische Versorgung ausreichenden Restzahnbestandes und Vermeidung von Implantaten.
Das nebenstehende Bild zeigt einen solchen von der distalen Wurzel des Zahnes 46 ausgehenden kombinierten Endodontitis – Parodontitis-Fall aus August 1999.
Der Zahn 48 konnte aufgrund einer bestehenden via falsa nicht erhalten werden.
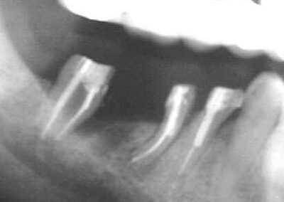
Juli 2000:
Hier sieht man den gleichen Fall fast ein Jahr später nach Hemisektion von 46, Ausheilung der Entzündung nach sorgfältiger Desinfektion und anschließender Wurzelfüllung, Versorgung mit Radix-Ankern und Kunststoff-Aufbauten in SÄT und Langzeit-Provisorien kurz vor Eingliederung der endgültigen Brücke.
Man beachte den „wundersamen Knochengewinn“ durch Elimination der Entzündung mesial 47.
Ein herausnehmbarer Zahnersatz oder Implantate konnten so vermieden werden.
(wegen der Behandlungs-Technik: siehe unter
Juli 2002:
Knapp drei Jahre nach WF und zwei Jahre nach Zementieren der definitiven Versorgung. Beachten Sie das Voranschreiten des „wundersamen Knochengewinns“ und das Verschwinden der ursprünglich stark verbreiterten Parodontalspalten im Sinne einer Tendenz zur Ankylosierung. Der Patient ist völlig beschwerdefrei bei L=0.
Bei den unteren beiden Bildern handelt es sich um Kontrollaufnahmen aus März 2003 bei unverändert völlig beschwerdefreier Situation. Die Restaufhellungen sind röntgenologisch weiter rückläufig.

