zurück/back

 

Kein Wunder, dass.....

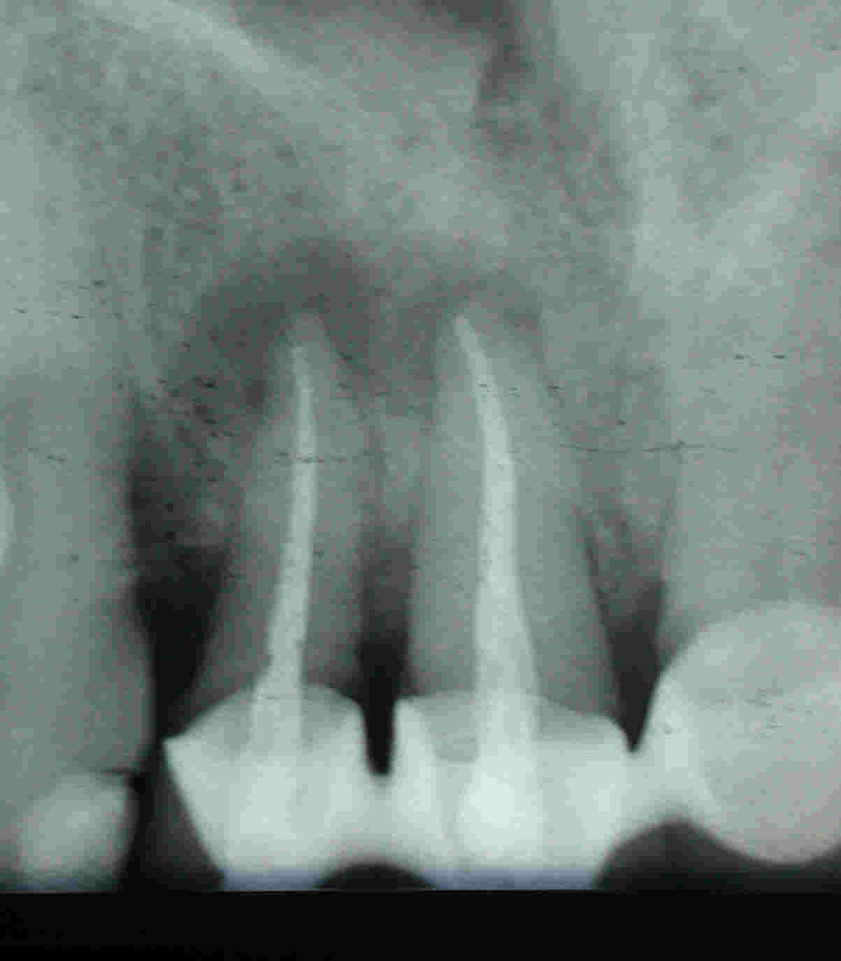
....Wurzelspitzenresektionen eine derart schlechte Prognose haben, wenn man den folgenden Fall einer Gangränbehandlung anschaut, bei der die infizierten Wurzeln in einer Sitzung aufbereitet, abgefüllt und resiziert wurden.

Ausgangsbefund (Klick!)

Zustand nach WF (Klick!)

Zustand nach Resektion in gleicher Sitzung (Klick!)

Kunstfehler ist sicherlich ein großes Wort, nichtsdestotrotz handelt es sich bei dieser leider noch immer weit verbreiteten Methode der Gangränbehandlung um ein Verfahren, dass schon lange nicht mehr Stand der Wissenschaft ist, und damit mit Sicherheit um einen Behandlungsfehler.  

Das hohe Risiko des Scheiterns mit Exazerbation und Fistelbildung in bis zu 50% der Fälle ist darin begründet, dass in solchen Fällen mit Sicherheit nicht nur der Periapex und das apikale Drittel der Wurzeln keimbesiedelt sind, sondern das gesamte endodontische Hohlraumsystem. In der Folge ist es nicht mehr als ein Lotteriespiel, ob in Abhängigkeit von der Qualität der verantwortlichen Bakterien durch die getroffenen Maßnahmen ein Zustand hergestellt wird, mit dem das Immunsystem des individuellen Patienten alleine fertig wird. Denn es muss damit alleine fertig werden. weil der Behandler  das Heft vollständig aus der Hand gibt.

Wenn man dieses überholte, massiv invasive Verfahren schon nicht als Kunst- oder Behandlungsfehler bezeichnen mag, so handelt es sich doch zumindest um eine ausgeprägte Form von Überbehandlung (Overtratment). Dies um so mehr als solch typische, wenig umfangreiche Aufhellungen mit geduldiger Desinfektion nach der Timbuktu-Methode in über 98% der Fälle voraussagbar konservierend ausgeheilt werden können.

 

Nächster Fall

  zurück/back       Home