zurück/back

 

Reparatur

 

Implantate sind wirklich eine tolle Erweiterung des Behandlungsspektrums. Eine sehr schöne Indikation ergibt sich insbesondere bei der Reparatur oder auch Rettung großer prothetischer Restaurationen.

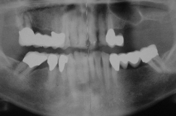
Ausgangs-OPT 1992 (Klick!)

Zustand 6 Monate nach Implantation 2002 (Klick!)

Es handelt sich um jeweils verblockte Kronenpaare. Damals haben wir uns eben auch noch nicht getraut, dem Dogma "Nichts darf verblockt werden" vollständig abzuschwören, und in diesem Sinne Kompromisse gemacht.  Heute würden wir in dieser Situation eine vollständige Verblockung der Frontzahnkronen vornehmen. Man sieht aber sehr schön, dass trotz der paarweisen Verblockung  in 10 Jahren entgegen der offiziellen Lehrmeinung praktisch keinerlei Knochenabbau stattgefunden hat. Bei guter Mundhygiene und parodontal günstiger Gestaltung wäre das auch bei vollständiger Verblockung nicht anders, eher im Gegenteil (siehe unten).

Sekundär waren die Zähne über individuell gefräste RSS-Geschiebe verblockt. Distal am 33 befindet sich ein Prezi-Vertix-Geschiebe. Wenn wir uns auch bemühen, so können wir uns beim besten Willen nicht erinnern, warum wir damals den Zahn 14 nicht mit einbezogen und ebenfalls über ein Prezi-Vertix-Geschiebe an die Prothese angebunden haben. Wir hatten ihn - mit welcher heute nicht mehr nachvollziehbaren Begründung auch immer- vielmehr über ein Teleskop angebunden. Im Nachhinein betrachtet stellt sich das als Planungsfehler dar. In 2001 musste 14 nach unfallmäßiger sehr tiefer Kronenfraktur (Bruxismus) entfernt werden, wodurch es zu einer starken Instabilität der Prothese mit der Folge rezidivierender Frakturen der Sekundärteile der RSS-Geschiebe kam. Um die Versorgung zu retten haben wir Anfang 2002 ein Einzelimplantat in Regio 15 gesetzt und es wegen schlechter Knochenqualität 6 Monate einheilen lassen.

Individueller Implantataufbau im Mund verschraubt (Klick!)

Implantataufbau mit Palavit-G an Prothese fixiert, Überabdruck mit Impregum (Klick!)

individueller Implantataufbau auf Manipulierimplantat verschraubt (Klick!)

Primärteleskop auf Implantataufbau mit Palavit-G an Prothese fixiert (Klick!)

Zu den Frontzahngeschieben parallel gefrästes Teleskop auf Implantat 15 (Klick!)

Die Patientin mit eingesetzter reparierter Prothese. Wäre doch schade gewesen, diese 10 Jahre in Funktion  stehenden Frontzahnkronen erneuern zu müssen, nur weil ein entscheidender Pfeiler verloren gegangen ist(Klick!).

Obwohl es sich um eine Bruxerin handelt, sehen die Frontzahnkronen auch nach 10 Jahren recht ordentlich aus. Insbesondere liegen die Kronenränder nirgends frei. Wir sind aufgrund unserer zwischenzeitlichen Erfahrung davon überzeugt, dass der Zahnfleischbefund (siehe sich andeutende Stilmann-Rezessionen an 12 und 22) noch wesentlich unauffälliger wäre, wenn wir einen kompletten Frontzahnblock und nicht nur verblockte Kronen-Paare angefertigt hätten.

Insgesamt müssen wir sagen, dass die Rettung dieser Arbeit eine sehr schwierige Aktion war, die insbesondere an den Techniker wegen der unabdingbaren Parallelität des sekundär angefertigten Telekopes zu den bestehenden Frontzahngeschieben allerhöchste Anforderungen stellt. Wir geben auch gerne zu, dass es - um ein gewaltloses Ein- und Ausgliedern zu gewährleisten- nicht ohne Poliermaßnahmen am Sekundärteleskop abgegangen ist. Wir führen das darauf zurück, dass das Implantat ankylosiert ist, sich also im Gegensatz zu natürlichen Zähnen, die minimal beweglich und resilient sind, völlig starr verhält, was zur Folge hat, dass es sich sekundär nicht einmal minimal  nach den auftretenden Kräften ausrichten kann (KFO).

nächster Fall

home