zurück/back

 

Prothetische Komplikation

Wer kennt ihn nicht, diesen überaus unangenehmen Augenblick im Leben eines Zahnarztes..... Plötzlich steht ein Patient, dem man vor gar nicht so langer Zeit eine große Arbeit eingegliedert hat mit einem klopfschmerzhaften, gangränösen Pfeiler in der Praxis. Gerade in solchen Momenten ist es ausgesprochen schonend für die Herzkranzgefäße, wenn man sich auf seine Endodontie auch in komplizierten Fällen wirklich verlassen kann. 85% Erfolgsrate sind da einfach zu wenig und schädigen den Ruf, den eigenen Geldbeutel und die Gutmütigkeit des Technikers auf lange Sicht ausgesprochen nachhaltig.

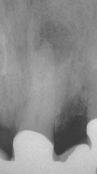
Zahn 21 im März 1997, 8 Monate nach Zementierung einer 6-gliedrigen Brücke (Klick!)

Messaufnahme (Klick!)

Unmittelbar nach WF im April 1997 (Klick!)

Oktober 1998 (Klick!)

November 2002 (Klick!)

 

nächster Fall

home