zurück/back

 

Das Märchen vom bakterienfreien Granulom

Diesen männlichen Patienten haben wir 1992 im Unterkiefer prothetisch und bei dieser Gelegenheit an 46 und 35 (VitE) in einer Sitzung endodontisch versorgt. Der 36 war seit Jahren wurzelbehandelt, wurde mit Hilfe eines (viel zu dicken) Radix-Anker aufgebaut und wegen der apikalen Ostitis resiziert, musste aber in 2002 nach massiver Exazerbation extrahiert werden. 

Damals waren wir mit unserem Timbuktu-Protokoll noch nicht so weit und haben bei röntgenologisch nicht beherdeten  Zähnen, die klinisch eindeutig als VitE imponierten,  noch die aktuelle Lehrmeinung befolgt und in erster Sitzung abgefüllt. Auch alte, röntgenologisch auffällige, klinisch aber unauffällige WF's haben wir damals vor der prothetischen Versorgung noch nicht revidiert und ausgeheilt, sondern einfach resiziert. 

Dezember 1992, unmittelbar vor VitE an 35 und Resektion an 36 (Klick!)

Heute sind wir sogar in der Lage, nach unserem Protokoll auch trotz mehrfacher Wurzelspitzenresektionen exazerbierende Zähne nach Revision in einer sehr hohen Frequenz konservierend auszuheilen.  

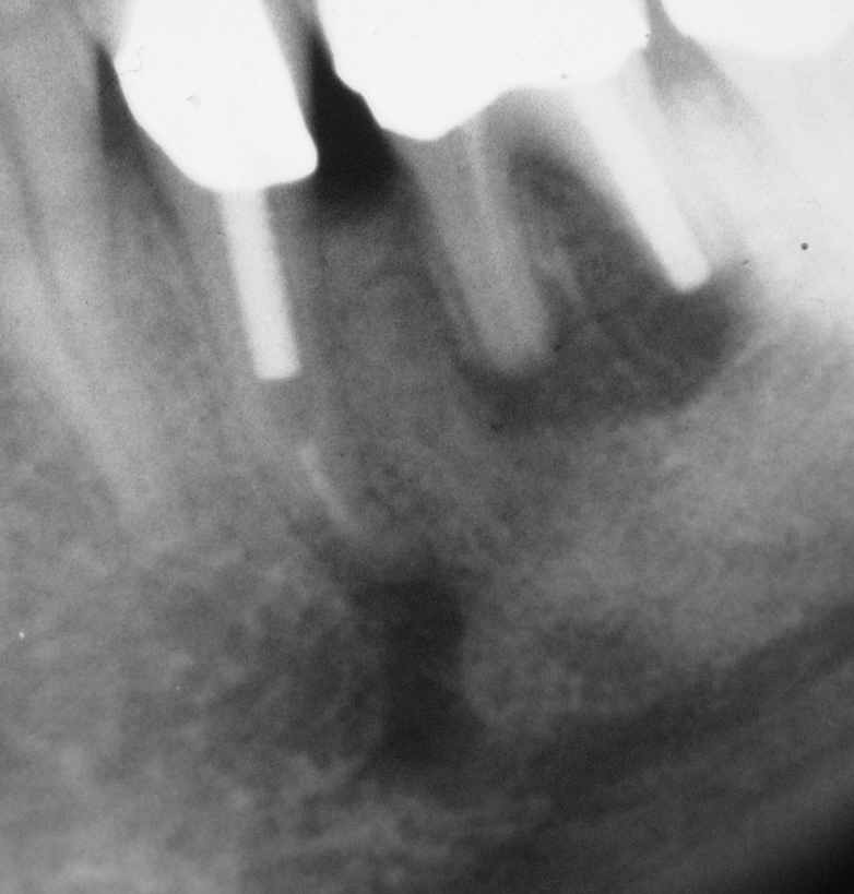
Die untere Bildreihe zeigt eine röntgenologische Verlaufskontrolle nach 10 Jahren. Am 46 ist es gut gegangen, am 36 völlig in die Hose, bei 44 ist es zur Ausbildung eines großen Granuloms gekommen. Besonders interessant ist der 35. Hier hat sich über die Jahre ganz offensichtlich ein klinisch symptomloses Gleichgewicht zwischen Angriff durch belassene Bakterien und Abwehr durch das Immunsystem des relativ jungen Patienten (Mitte 30) entwickelt. Eine Reinfektion im Sinne eines koronalen Lecks ist in diesem Falle aufgrund des Stiftes und der Krone mit der erforderlichen großen Wahrscheinlichkeit auszuschließen. 

Was das sofortige Abfüllen in einer Sitzung bei VitE betrifft, so macht dieser Fall deutlich, dass das mit der notwendigen Sicherheit nur  im Falle einer astreinen VitE möglich ist, wie der Erfolg am 46 zeigt. Das Problem ist aber, dass man klinisch in keinem Fall sicher entscheiden kann, ob nicht bereits in Teilbereichen des Hohlraumsystems eine Gangrän (sog. "partielle Gangrän") vorliegt, die für eine vorhersagbare, sichere Ausheilung eine vollständige, sorgfältige Desinfektion mit einem potenten Desinfizienz erfordert. Das Vorliegen einer solchen "Partiellen Gangrän" machen wir für den Misserfolg an 35 verantwortlich und füllen heute nur noch Zähne in erster Sitzung ab, bei denen wir die Pulpa akzidentiell eröffnet haben, um den in solch einfachen Fällen einzufordernden 100%-Erfolg sicher zu stellen.

Ausschnitt rechts (Klick!)

OPT, Verlaufskontrolleim Dezember 2002 wegen massiver Exazerbation des 1992 resizierten 36 (Klick)

Ausschnitt links (Klick!)

Die untere Bildreihe zeigt die präprothetische Röntgenaufnahme zwei Jahre nach endodontischer Versorgung des 44 nach dem Timbuktu-Protokoll und Extraktion von 36. Die große apikale Aufhellung am 44 ist vollständig knöchern ausgeheilt, der Gleichgewichtszustand am jetzt beherdeten 35 jedoch unverändert. Die untypische, mangelhafte Resorption der Überpressung von Endomethasone N am 44 deutet in unseren Augen darauf hin, dass es sich um einen abgefüllten Hohlraum im Sinne einer Zystenbildung handelt. Ob diese Vermutung richtig ist, kann nur durch eine Resektion mit histologischer Untersuchung abgeklärt werden, die sich jedoch aus ethischen Gründen bei völliger Beschwerdefreiheit verbietet. 

Ausschnitt rechts (Klick!)

Präprothetisches OPT im Dezember 2004 (Klick!)

Ausschnitt links (Klick!)

Wie groß die Halbwertszeit einer wissenschaftlich weltweit anerkannten , aber nichtsdestotrotz falschen Lehrmeinung samt ihrer sich daraus ergebenden Therapierichtlinien sein kann, wird an einem sehr aktuellen Beispiel aus der Endodontie exemplarisch deutlich. In einer über alle Maßen beachtlichen Veröffentlichung zur Ätiologie und Pathogenese der endodontischen Infektionskrankheit belegen  Tronstad und Sunde wissenschaftlich die von David Figdor in einem Editorial formulierte Systemkritik, dass die Behandlung der apikalen Ostitis in den letzten 50 Jahren praktisch keinen Fortschritt gemacht hat. Sie liefern dafür drei wesentliche Belege:

1. Die apikale Ostitis, also das Granulom, ist keimbesiedelt. Wie konnte man jemals annehmen, es sei bakterienfrei? Was sollte die Erreger hindern, den Knochen zu penetrieren? Es gibt zwischen Apex und Knochen keine anatomischer Struktur, wie sie etwa ein Lymphknoten darstellen würde, der sie daran hindern könnte. Die entwicklungsgeschichtlich primitive apikale Konstriktion kann das nicht leisten, auch wenn ihre Bedeutung zahnärztlicherseits geradezu mystifiziert wird.  

2. Mit dem Nachweis von Bakterien durch kulturelle Anzüchtung können nicht mehr als die Hälfte der Erreger im infizierten Wurzelkanal und in der tiefen paraodontalen Tasche nachgewiesen werden. Und im Granulom offensichtlich überhaupt nicht. Mit den von den Autoren angewandten molekularbiologischen Verfahren findet man eine Vielzahl weiterer Erreger sowohl im Kanalsystem, im Granulom als auch in der Tiefe parodontaler Einbrüche. Sogar Biofilmbildung ist in der apikalen Ostitis nachweisbar.  Die 100 Jahre alte Lehrmeinung, das Granulom sei bakterienfrei, ist also wissenschaftlich nachgewiesen falsch und basiert auf unzureichenden Nachweismethoden. Die Keime sind seit Menschengedenken da. Es gelang lediglich bis vor Kurzem nicht, sie dort auch nachzuweisen. Das heißt im Klartext, dass man alle Studien, die lediglich auf dem kulturellen Nachweis von Bakterien fußen, genau so völlig neu werten und einordnen muss wie die sich aus ihnen abgeleiteten Therapierichtlinien. 

Vor dem Hintergrund, dass der geniale deutsche Zahnarzt Prof. Dr. Otto Walkhoff, ehemals Ordinarius in Würzburg, vor beinahe 100 Jahren nicht nur die Ätiologie und Pathogenese der Endodontitis umfassend beschrieben hat (Walkhoff ca. 1906), sondern darüber hinaus die allgemeine Infektionslehre beachtend das geeignete Desinfizienz für ihre voraussagbar erfolgreiche Therapie erfunden, in die Zahnheilkunde eingeführt und in einem zu seiner Zeit weltweit beachtetem Lehrbuch veröffentlich hat (Walkhoff 1928), wirkt dieser Umstand beinahe unglaublich. Dies um so mehr, als seine Methode die gleichzeitige sorgfältige  Desinfektion des Granuloms mit dem Argument mit einbezog, der Zahnarzt sei gut beraten, die Potenz und Überlebensfähigkeit von Bakterien zum Wohle des Patienten besser zu über-  als zu unterschätzen, obwohl auch er der Überzeugung war, das Granulom sei erregerfrei. An der Universität Zürich unter Hess, einem engen Freund von Walkhoff, wurde die Walkhoff-Methode in mehr als 1000 Fällen angewendet und wissenschaftlich nachuntersucht (Castagnola, 1951). Dabei wurde eine röntgenologisch knochendichte Ausheilung in 70% der behandelten Fälle von apikaler Ostitis festgestellt. Es wurden also bereits damals  mit der oben erwähnten aktuellen Metaanalyse vergleichbare Ergebnisse erzielt, obwohl  als Erfolgskriterium nur die vollständige, röntgenologisch knochendichte Ausheilung gewertet wurde, was man nun wirklich nicht von allen aktuellen Endostudien behaupten kann, auch wenn sie als evidenzbasiert gelten. Zieht man in seine Überlegungen mit ein, wie erheblich technisch limitiert die Altvorderen durch die mangelhafte Qualität ihres Instrumentariums waren und dass Engel im Jahre 1950 18 Fälle unter Anwendung der Walkhoff-Methode ausgeheilte Granulome nach Resektion histologisch nachuntersucht hat, wobei er in allen Fällen mit dem röntgenolgischen Befund vergleichbare oder besseres Befunde bis hin zum knöchernen Verschluss des Apex vorgefunden hat, kann man sich über die kürzlich von derselben Universität Zürich als „Goldstandard“ veröffentlichten Therapierichtlinien für die Behandlung der apikalen Ostitis mit einer einmaligen medikamentösen Zwischeneinlage mit dem als bioverträglich geltenden Ca(OH)2 nur wundern (Zehner 2003). Dies um so mehr als zum Zeitpunkt der Veröffentlichung lange bekannt war,  dass Ca(OH)2 bei vielen relevanten, ausgesprochen therapieresistenten Erregern der Endodontitis unwirksam ist, was inzwischen auch durch molekularbiologischen Nachweis bestätig ist (Tang, 2004).

3. In der Tiefe der Taschen parodontal stark zerstörter Zähne ist das gleiche Keimspektrum  nachzuweisen wie im infizierten Wurzelkanal, mit all den Implikationen, die sich daraus bei sorgfältigem Nachdenken für die Zahnerhaltung in weit fortgeschrittenen, bisher als vermeintlich  therapierefraktär eingestuften Fällen von aggressiver Parodontitis ergeben.

Nächster Fall

  zurück/back       Home