zurück/back

 

Kleine Serie....

.... des Kollegen  Dr. Felix Kehr aus Dresden (www.zahnarzt-kehr.de)

Fall 1:

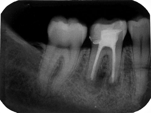
Exazerbation in 2006 nach WK-Behandlung nach der aktuellen Lehrmeinung (NaOCl, Ca(OH)2) in 2005 (Klick!)

Zustand nach WSR im Juni 2006 bei klinischer Beschwerdefreiheit (Klick!)

Zustand nach erneuter Exazerbation im Dezember 2007 (Klick!)

Messaufnahme anlässlich der Revision mit absichtlichem Überinstrumentieren in die Aufhellung im Dezember 2007 (Klick!)

Unmittelbar nach WF nach Desinfektion nach dem Timbuktu-Protokoll im Januar 2008 bei klinischer Beschwerdefreiheit (Klick!)

Erste Verlaufskontrolle im August 2008 bei anhaltender Beschwerdefreiheit (Klick!)

 

2. Verlaufskontrolle im November 2009 bei anhaltender Beschwerdefreiheit und röntgenologisch knochendicht ausgeheilter apikaler Ostitis (Klick!)

 

 

Fall 2:

Schmerzhafte Exazerbation nach one- visit-Behandlung vor 10 Jahren im Dezember 2008 (Klick!)

Messaufnahme anlässlich der Revisionsbehandlung im Dezember 2008 (Klick!)

Unmittelbar nach WF nach Desinfektion nach dem Timbuktu-Protokoll im März 2009 bei klinischer Beschwerdefreiheit (Klick!)

1. Verlaufskontrolle bei anhaltender Beschwerdefreiheit und röntgenologischer Ausheilung der zystischen Aufhellung im Januar 2010 (Klick!)

 

3. Fall:

Ausgangsbefund im Februar 2009 (Klick!)

Verlaufskontrolle vor prothetischer Versorgung bei anhaltender klinischen Beschwerdefreiheit und knochendichter Ausheilung der apikalen Ostitiden im Januar 2010 (Klick!)

nächster Fall

zurück/back       Home