zurück/back

 

HEMISEKTIONEN 

Hemisektionen stellen eine ausgezeichnete Methode der Zahnerhaltung dar, wenn die Statik beachtet wird.

1. Fall

In diesem Fall war es zu einer Längsfraktur des 16 bei Zustand nach WF und Versorgung mit einer großen Amalgamfüllung (der Zahnfilm zeigt noch die alte Füllung) gekommen. Wegen der besseren Ästhetik haben wir die palatinale Wurzel geopfert. Der Aufbau erfolgte mit Kunststoff in SÄT. Es versteht sich von selbst, dass wir den hemisezierten 16 mit dem 17 aus Stabilitätsgründen (schwacher Pfeiler 16) verblockt haben. Für den Patienten war diese Form der Versorgung deshalb besonders attraktiv, weil wir ihm zwei Jahre zuvor eine Brücke von 15 auf 13 eingegliedert hatten. Die Kosten für die von uns vorgeschlagene Überkronung des 16 unmittelbar nach WF hatte er damls einsparen wollen. Die Alternative in Form der Extraktion von 16 mit anschließender Implantation mit internem Sinuslift lehnte der Patient nach sorgfältiger Aufklärung nicht nur aus Kostengründen ab.

 

2. Fall

Bei dieser Patientin musste die mesiale Wurzel des 36 aus parodontalen Gründen (ausgeprägter Knocheneinbruch bis zum Apex) bei Bruxismus entfernt werden. Der Zahn wurde im Oktober 2002 hemiseziert und unter sorgfältiger Desinfektion wurzelbehandelt. Nachdem unter der Versorgung mit einem Langzeitprovisorium (33,34-36) sicher gestellt war, dass er Lockerungsgrad L=0 erreicht hatte, erfolgte die Insertion eines Implantates in regio 37 von lediglich 8mm Länge und 4.8 mm Durchmesser (ITI, Wideneck) wegen des reduzierten vertikalen Knochenangebotes. Zusammen mit der Restwurzel von 36 ergibt sich eine solide Abstützung der Brücke. Ein aufwendiger risikobehafteter vertikaler Knochenaufbau konnte der Patientin erspart werden. Dass die Patientin zukünftig regelmäßig eine Aufbisschiene tragen wird, hat sie uns fest versprochen.

  

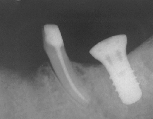
3. Fall

Bei Bruxern ist auffällig, dass im Oberkiefer sehr häufig die palatinale(n) Wurzel(n) so stark geschädigt wird/werden, dass sie nicht erhalten werden kann/können. In diesem Fall wies der Zahn 17 einen Lockerungsgrad von L=II auf. Bei subtiler klinischer Untersuchung zeigte sich, dass der Zahn in diesen Fällen bei Belastung deutlich nach palatinal, kaum jedoch nach bukal kippte (bukkale Knochenwand vollständig erhalten, palatinale Wurzel nur noch im Bindegewebe). Nach Hemisektion und Wurzelfüllung unter sorgfältiger Desinfektion mit daraus resultierender Beseitigung  der Trifurkation, erreichte der Zahn wieder L=0. Weil es sich nichtsdestotrotz um einen schwachen Pfeiler handelte, haben wir ihm zur statischen Unterstützung nach internem Sinuslift  ein Implantat (ITI 10mm lang, Durchmesser 4.3mm) an die Seite gestellt.  

Kontrollaufnahme ca. 3 Jahre nach Eingliederung der Brücke 13-15-16,17 und 4.5 Jahre nach internem Sinuslift mit Cerasorb (Klick!).

Ansicht von palatinal, ca. 4 Jahre nach Eingliederung der Brücke (Klick!)

 

In dieser Weise gleichzeitig langfristig erfolgreich wie ausgesprochen zahnerhaltend kann man natürlich nur arbeiten, wenn man sich auf die Performance seiner Wurzelbehandlungen auch in schwierigen Fällen quasi 100%ig (sic!!) verlassen kann. Kein Wunder also, warum wir so wenig extrahieren und implantieren.

Dass sich eine dermaßen zahnerhaltende, implantatsparende und daher für den Patienten im wahrsten Sinne des Wortes "Preis-werte" Behandlungsweise (alles Kassenpatienten!) im Ruf der Praxis ausgesprochen positiv niederschlägt und für (den dann auch notwendigen) Nachschub an Neupatienten sorgt, ist sicher für jeden nachvollziehbar. Ein schlechtes Gewissen gegenüber den Kollegen, denen man in der sich zunehmend verschärfenden Konkurrenzsituation auf diese sehr anständige Weise auch in Ballungszentren mit hohem Spezialisierungsgrad die Patienten abzieht, braucht man nun wirklich nicht zu haben.

Dass sich in der Folge der ökonomische Erfolg wie von allein einstellt, versteht sich von selbst. Besonders schwierig ist es auch nicht. Ist das Kind erst einmal in den Brunnen gefallen, ist der praktisch 100%ig  verlässliche und voraussagbare Erfolg der eigenen Endodontie der Knackpunkt des zahnerhaltenden Behandlungskonzeptes. Und eine bessere Performance zu erreichen als das Gros der Spezialisten, ist nun wirklich nicht besonders schwierig und für (praktisch) jeden sehr leicht, kostenfrei und ohne Investion in aufwendige Technik erlern- und durchführbar (siehe: Methode der sorgfältigen Desinfektion in der Endodontie).

 

nächster Fall

home