zurück/back

 

Auffüllen von Extraktionsalveolen

Ob man die Alveole nach Extraktion mit künstlichem Knochen auffüllt oder nicht, scheint für die Knochenregeneration keine entscheidende Rolle zu spielen.

Viel wichtiger scheint es zu sein, dass man die Alveole sorgfältig  auskratzt, dabei den Knochen ordentlich anfrischt und den Patienten nicht ohne stabiles Koagulum aus der Praxis entlässt. Damit sorgt man nicht nur für eine ausgezeichnete Knochenregeneration, sondern auch gleichzeitig dafür, dass der dolor post zu einem ausgesprochen seltenen Ereignis wird. 

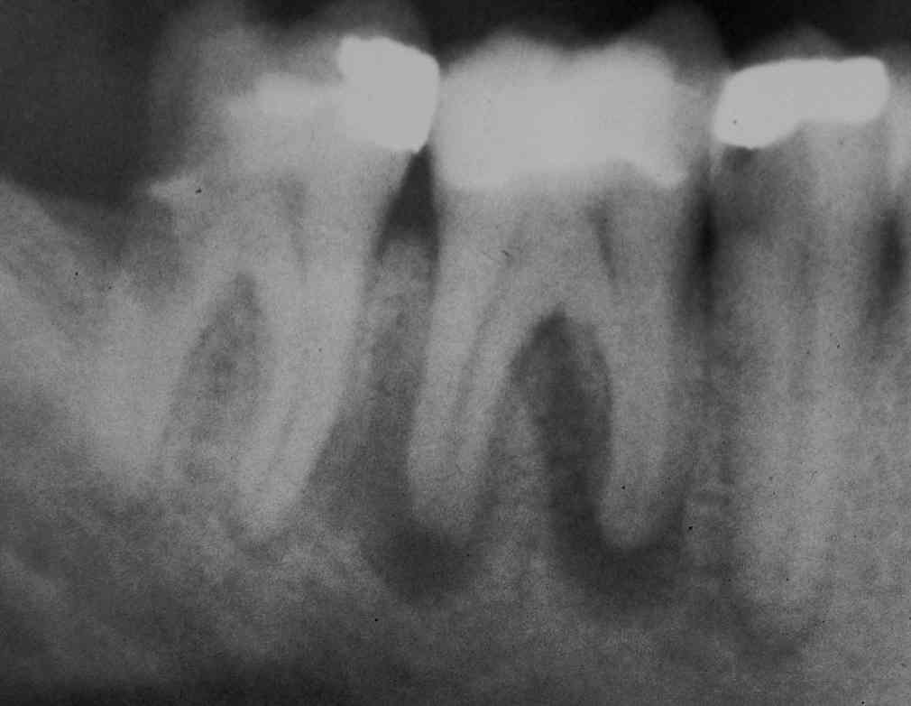
Der untere Fall zeigt darüber hinaus, dass es nicht von Nachteil ist, bei kombiniert zahn- und implantatgetragenem Zahnersatz vor dem definitiven Zementieren eine Röntgenaufnahme zu machen, um sicher zu stellen, dass man überall "ganz unten" ist. Beide Fälle zeigen, wie sicher voraussagbare Ergebnisse die genau so sorgfältige wie geduldige Desinfektion mit einem potenten Desinfektionsmittel bei der Behandlung der komplizierten Endodontitis liefert. Im oberen Fall heilen die apikalen Aufhellungen an 3 nebeneinander liegenden Zähnen synchron ab, und man hätte bei Zeitnot mit akzeptablem Risiko gleichzeitig  wurzelfüllen und überkronen, im unteren Paro-Endo-Fall gleichzeitig hemisezieren, wurzelfüllen und implantieren können..  

Nächster Fall

  zurück/back       Home